
발뒤꿈치를 이루는 종골, 우리 몸의 체중을 직접적으로 받아내는 뼈인 만큼, 한 번 골절되면 그 후유증이 결코 만만하지 않습니다. 특히 뼈가 여러 조각으로 부서지는 '분쇄골절' 진단을 받으셨다면, 수술 이후에도 발목 운동 제한과 통증이 일상을 계속 괴롭히게 되는데요. 『종골 분쇄골절, 수술까지 받으셨다면』 오늘은 계단에서 발을 헛디뎌 우측 종골 분쇄골절로 수술을 받으신 40대 여성의 실제 보상 사례를 통해, 많은 분들이 놓치고 있는 후유장해 보험금 1,100만 원 수령 과정을 자세히 알아보겠습니다!
- 종골 분쇄골절, 골절진단비 외에 추. 가. 로 받을 수 있는 보험금은?

종골 골절은 외상 중에서도 예후가 까다로운 부위입니다. 수술로 뼈를 맞춰도 발목 관절의 움직임이 예전 같지 않은 경우가 많고, 이 운동 제한(ROM 감소) 이 바로 후유장해 보험금 청구의 핵심 근거가 됩니다. 『종골골절 후유증, 후유장해 청구하세요!』 보험 증권에서 '상해후유장해(3%100%)' 혹은 '재해상해특약' 을 확인해보세요! 💡 가입금액에 따라 수백만 원수천만 원 단위의 보상이 가능합니다. ※ 단, 80% 이상 담보는 해당하지 않습니다. 그러면 이제 실제 사례를 함께 살펴보실까요?
- 계단 모서리에 발을 헛디뎌 종골 분쇄골절까지 사고경위, 진단명,치료방법
『사고경위』

40대 후반의 여성 의뢰인께서는 계단을 내려가던 중 발을 헛디뎌 낙상하는 사고를 당하셨습니다. 응급실초기기록지에도 기재되어 있듯이, "우측 발 뒤꿈치 통증 — 계단 모서리에 부딪힘" 갑작스러운 충격으로 보행이 어려울 정도의 통증이 발생해 즉시 병원으로 이송되었습니다. 『진단명 및 치료방법』


종골 분쇄 골절 관혈적 정복술 및 내고정술
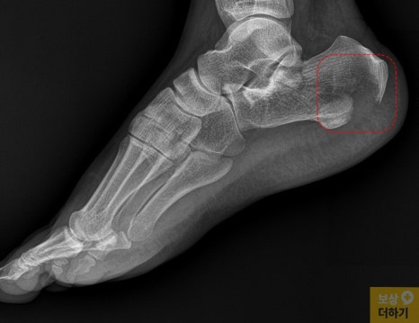
응급실에서 X-ray와 CT 정밀 검사를 진행한 결과, 우측 종골 분쇄골절이 확인되었습니다. 영상 자료(CT, X-ray)를 보시면 종골 부위가 심하게 함몰된 것을 확인할 수 있는데요.

주치의 선생님의 권유로 곧바로 수술을 진행할 수 있었습니다. 무너진 뼈를 맞추기 위해 금속판과 나사못을 박는 큰 수술을 받으셨고, 약 8주간의 고정 치료와 긴 재활 기간이 이어졌습니다. 하지만 수술이 잘 끝났음에도 불구하고, 발목을 안팎으로 움직이거나 위아래로 꺾는 동작이 예전처럼 부드럽지 않았습니다.
발뒤꿈치 종골 골절, 수술 후유증 → 후유장해 청구 알아보세요!
환자분께서는 본인의 보험을 확인해보니 상해후유장해 담보가 있다는 것을 알고 저희에게 문의하셨습니다.
- 청구과정에서의 어려움
① 수술병원에서 후유장해진단서 발급 거절 가장 먼저 부딪힌 벽은 바로 병원의 장해평가 거절이었습니다. 수술을 집도한 병원 측에서는 "후유장해 진단서를 발급해본 경험이 없다"며 장해 평가 자체를 완강히 거부하였습니다. 후유장해 진단서 없이는 보험 청구 자체가 불가능한 상황. 의뢰인 혼자였다면 여기서 포기하셨을지도 모릅니다.
② 보험사에서 흔히 하는 주장들은? 발뒤꿈치(종골) 는 후유장해 평가 시 발목의 움직임 제한 정도를 측정합니다. 그리고 후유장해 진단서를 제출하고 지급률에 따라 후유장해 보험금을 지급 받는 구조인데요. 아시다시피, 대부분의 보험사에서는 어떻게든 보험금을 삭감하여 지급하려합니다. 후유장해가 과도하게 평가 되었다거나 사고기여도 등을 문제 삼으며 의료자문을 시도하려고 합니다. 많은 분들이 이 과정에서 법적, 의학적 지식이 부족하여 그저 보험사가 주장하는 대로 끌려갈 수 밖에 없게 되죠.
③ 복잡한 약관 해석 후유장해 약관은 의학 용어와 법률 용어가 혼재되어 있어 일반인이 스스로 대응하기 매우 어렵습니다. 특히 AMA 장해평가 기준상 ROM 측정 기준과 보험 약관상 정의를 정확히 이해해야만 정당한 보상을 받을 수 있습니다.
- 종골골절 전문 손해사정사 선임 결과는? 후유장해 보험금 1,100만 원 보상성공!
『보상더하기의 조력 내용』 ◼ 제3 의료기관 정밀 장해 진단 의뢰 수술 병원이 장해진단서 발급을 거부한 상황에서, 저희 보상더하기는 공신력 있는 제3 의료기관에 장해 평가를 의뢰하여 AMA 방식에 따른 정확한 ROM 측정과 함께 지급률 10%, 영구장해 소견을 명확히 확보하였습니다.

◼ 보험사 의료자문 대응 예상한대로 보험사에서는 운동각도를 문제 삼으며 의료자문을 시도했습니다. 저희는 측정 방법의 정확성과 의학적 근거를 바탕으로 의뢰인에게 유리한 방향으로 철저히 방어할 수 있었습니다. 치열한 공방 끝에, 아래와 같은 결과로 이끌어 낼 수 있었는데요. ✅ 개인보험 후유장해 보험금 약 1,100만 원 보상 완료!
종골 분쇄골절 수술 받으셨나요? 발뒤꿈치뼈 종골
종골 골절로 수술을 받으셨다면, 단순 치료비 외에도 후유장해 보험금을 청구할 수 있습니다. 복잡한 약관 해석과 보험사의 까다로운 심사, 혼자 고민하지 마세요. 보상더하기가 여러분의 정당한 권리를 찾아드리겠습니다 이와 관련하여 자세한 상담 원하시면 아래 전화 또는 카톡으로 연락 주세요! * 상담 비용 및 착수금 없음 !


