
오늘은 발목 접지름 사고로 골절 수술 시행하신 분들께 도움 되는 내용 말씀드릴게요! 특히 상병 코드 s82320에 해당하는, 비골과 경골 하단이 모두 부러진 경우 후유증이 남을 확률이 더욱 높기 때문에 이와 관련한 보상도 꼭 받으셔야 합니다. 그럼 실제 지급 사례와 함께 자세히 알아보겠습니다.

발목 골절 s82320 접지름 → 심각한 부상으로 이어질 수 있어요
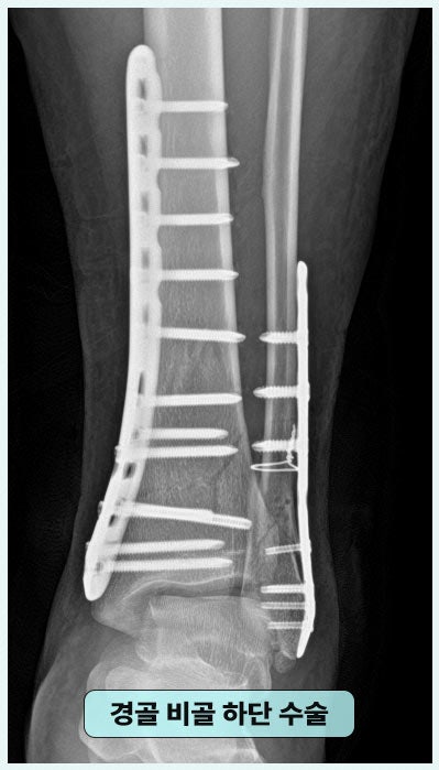
진단서의 질병분류기호에 s82320으로 표시되어 있는 분들이 계실 겁니다. 비골 골절(모든 부분)을 동반한 경골 하단의 골절 비골은 종아리 바깥쪽의 가늘고 긴 뼈, 경골은 종아리 안쪽의 굵고 무게를 많이 지지하는 뼈입니다. 아래 사진에서 볼 수 있는 것처럼 이 두 개의 뼈 하단이 모두 골절되었을 때 부여되는 코드입니다.

후유증 발생 확률 높아 비골만 단독으로 부러지게 되면 비교적 예후가 좋고 보존적 치료로 끝날 때가 많습니다. 하지만 경골 하단은 발목 관절과 직접적인 연관이 있고 체중의 약 90% 이상을 지지하기 때문에 다칠 경우 후유증이 남을 가능성이 큽니다. ■ 발목 움직임 제한 ■ 외상성 관절염 ■ 만성 통증 및 불안정 ■ 유합 지연, 불유합 등
후유증 보상도 받으세요
발목 접지름 사고로 인해 수술까지 하고 게다가 치료 후에도 불편함이 지속된다면 여러분들에게 큰 스트레스가 될 것입니다. 생각보다 길어지는 재활 치료 등으로 경제적인 부담도 커질 수 있기에 관련 보상도 중요한 문제이죠. 개인보험 후유장해 진단금 여러분들의 가입 내역을 확인하시고 "상해 후유장해 진단금" "재해 장해 급부금" 등을 청구할 수 있습니다. (손해·생명·운전자 보험 모두 확인) 예를 들어 수술 및 재활 후에도 발목 움직임이 예전같지 않다면 이에 대해 신중하게 알아보시길 당부 드립니다.

발목 후유증 보상 사례
■ 내부 고정술 경골, 비골의 아랫부분은 발목을 접질렀을 때 힘을 집중적으로 받는 부위로 당시 심각한 골절이 발생하였고, 이에 따라 수술 치료가 필요했습니다.
↓ 개방적 정복 및 내 고정술 절개하여 뼈를 제자리에 맞추고 금속 재료로 뼈를 안에서 고정하는 방법

■ 개인보험 청구 골절 진단비, 수술비, 실손 의료비 등은 개인적으로 준비 및 신청해서 지급 받으셨고 이 과정에서 특별한 문제나 어려움은 없었어요. 그러나 오늘 말씀드린 "후유증" "후유장해" 관련해서는 전문가의 도움이 필요했습니다. → 후유장해 진단금 청구 위해 손해사정사 선임 (* 「보상 더하기」에서 맡아 진행했습니다)

손해사정사 어떤 도움을 주었을까요?
💡 장해 판정에 유리한 자료 준비 의무기록, 진단서, 엑스레이 등 자료를 정확하게 해석하고 정리하며 진단이 약관 기준에 맞지 않을 경우 보완 의견서나 추가 진단 유도 💡 지급 기준에 맞는 주장 약관, 파례, 의료기록에 근거하여 고객분께 유리한 장해 인정을 이끌어낼 수 있는 전략 수립 (* 회사는 일반적으로 최소 지급 기준을 적용하기에 고객에게 불리함) 💡 분쟁에 대비, 적절한 방법 강구 지급 거절 또는 감액하려고 할 때 객관적이고 근거를 바탕으로 논리적 주장을 펼침

■ 청구 결과는? 발목 운동 각도 제한에 따른 기능 장해, 영구적인 장애와 합당한 지급률로 인정받을 수 있었고 그 결과 후유장해 보험금 1,100만 원 이상 지급되었습니다.
발목 골절 후유증 보상에 대해 알아보기 원하신다면 s82320
실제 후유장해 보상금 청구 경험이 많은 손해사정 전문가를 선임하시는 것이 좋습니다. 장해 인정 가능성 자체를 높여주며 같은 발목 운동 제한이라도 등급 경계선에서 한 단 계 더 유리하게 끌어낼 가능성이 높기 때문인데요. 「보상 더하기」는 십수 년 이상 경력으로 매년 수많은 사건들을 성공적으로 처리하여 사고 피해자분들에게 도움을 드리고 있습니다. ✅ 전문가 상담 무료로 진행하니 아래로 연락주시고 자세한 상담 받으시기 바랍니다.
🖊 전 지역 무료 상담 🖊 진행 시 착수금 없습니다 (선입금 요구 없음)
