
팔꿈치는 복잡한 관절 구조이기 때문에 골절 후에 완전히 회복되지 않는 경우가 많습니다. 팔이 완전히 안 펴지거나 안 굽혀진다면 후유장애로 인정될 수 있으며 수백만 원에서 수천만 원 이상까지도 보상이 가능합니다. 금액이 큰 청구 건에 대해서는 (보험) 회사에서 먼저 알려주지 않으니 본인이 잘 알아보고 필요하다면 손해사정사의 도움을 받으셔야 합니다. 오늘 말씀드릴 내용을 잘 확인하셔서 놓치는 일 없이 잘 지급받으셨으면 합니다!
◇ 살펴볼 순서 ◇ ✔ 팔꿈치 골절이란 ✔ 후유장애 검토 이유 ✔ 지급 사례 소개
팔꿈치 골절이란
팔꿈치는 아래와 같이 상완골, 요골, 척골이라는 3개의 뼈로 구성되며 이 중 하나 또는 여러 개가 부러지는 것을 말합니다.

🔎 주요 골절 유형 · 상완골 원위부 위팔뼈 · 요골두 팔꿈치 근처 요골의 머리 부분 · 척골 주두 팔꿈치 뒤쪽에서 만져지는 척골 끝부분
▶▶▷ 발생 원인 넘어지면서 팔을 짚을 때, 높은 곳에서 추락, 교통사고, 운동 중의 충격 등으로 잘 일어납니다. ▶▶▷ 치료 방법 뼈의 어긋남 정도, 환자의 나이, 활동 수준, 동반 손상 여부 등에 따라서 결정이 됩니다. 뼈가 많이 어긋나거나 관절의 불안정, 신경이나 혈관이 함께 손상, 복합 골절은 핀, 나사, 금속판(플레이트) 등을 이용한 수술 치료를 합니다.

후유장애 검토 이유
▶▶▷ 후유증 발생 가능성 적절한 치료와 재활을 하게 되면 대부분 일상으로의 회복에 무리가 없습니다. 하지만 다음과 같은 후유증이 생기기도 합니다. · 관절의 굳음, 강직 · 신경 손상으로 인한 손가락 저림, 약화 등 · 관절염(특히 관절면이 어긋난 채 붙을 때) · 근력 약화, 기능의 저하(어깨, 손목 등에 영향)

▶▶▷ 회사는 먼저 알려주지 않음 갑작스러운 사고가 발생하게 되면 담당 설계사나 콜센터에 전화를 해서 청구할 수 있는 보험금에 대해 확인하실 거예요. 골절 진단비, 수술비, 실비 등 비교적 간단한 부분은 말씀해 주시지만 "후유장해가 남았는지 확인해 보세요"라는 얘기는 잘 해주지 않습니다. 보통 수백~수천만 원의 고액에 해당되기에 적극적으로 알려주려고 하지 않는 것입니다. 따라서 본인의 상태를 잘 확인하시고 후유장애 여부를 검토해 보셔야 합니다.

지급 사례 소개
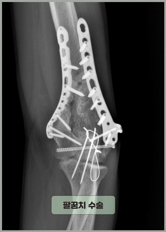
▶▶▷ 40대 후반 김 ** 님(경기) 사례자분은 운동 중에 다치셨고, 팔꿈치 골절 진단을 받으셨습니다. 정확한 진단명은 다음과 같으며 위팔뼈인 상완골 아랫부분이 손상되었습니다. Lt. distal humerus intraarticular comm. fx. 좌측 원위부 상완골 관절 내 분쇄 골절 뼈가 세 조각 이상 조각나듯 부러지고 부러진 부분이 팔꿈치 관절안까지 침범한 상태였습니다. 따라서 수술 치료를 시행 받으셨어요. 금속판, 나사 핀 등을 이용해 뼛조각을 정밀하게 고정했습니다.

▶▶▷ 후유장애 보험금 청구 (손해사정사 선임하여 철저히 준비) 김 ** 님은 「보상 더하기」의 전문가를 통해 후유장애 진단금을 제대로 지급받으셨습니다.
전문가 선임한 이유
그럼 먼저, 왜 전문가가 필요했을까요? · 장해등급 판정의 복잡함 팔꿈치 골절이 후유장해로 인정되려면 관절의 운동 범위 제한이 명확해야 합니다. 예를 들어 몇 도 이상의 제한이 있는지 ROM 검사 결과(관절 가동 범위)가 필요합니다. 손해사정사는 이러한 기록들을 분석해 회사 기준에 맞춰 서류를 준비해 줍니다. · 장해를 축소 평가할 위험이 있음 "기능이 회복됐다, 일상생활에 지장이 없다" 회사는 이런 식으로 말하며 장해가 없다고 판단하려 합니다. 전문가는 적절한 반박 자료를 만들고 기준에 맞는 정당한 보상 금액을 산정해 줍니다.

▶▶▷ 청구 결과 (1천만 원 이상 지급) 회사는 자체 의료자문을 거친 후 장해를 불인정하며 면책 즉 보상할 수 없다고 주장했습니다. 하지만 논리적인 반박 자료를 준비, 적극적인 의견 개진을 하여 팔꿈치의 기능 장애를 인정받았습니다. → 1천만 원 이상의 후유장애 보험금 지급
여러분들도 팔꿈치 골절 보상 알아보신다면?
제대로 된 보상을 받기 위해서 경험 많은 손해사정 전문가와 상담하시고 본인의 상황에서 최선의 해결책을 찾으시기 바랍니다. 개인적인 사고로 다치시기도 하지만 교통사고, 산업재해, 배상 책임을 물을 수 있는 사고가 나셨다면 각 상황에 따른 적절한 합의금 및 관련 보상도 받으셔야 합니다. 아래의 전화 또는 카톡으로 문의하시면 1:1 상담을 통해 보다 자세한 안내드리겠습니다. 📌 전 지역 상담 비용과 착수금은 발생하지 않습니다.
십수 년 경력의 손해사정사 및 보험회사 조사관 출신 직원이 함께 여러분들의 권익을 위해 힘씁니다


