
함께하면 더 커지고 늘어나는 보상 「보상 더하기」와 함께! · 십수 년 경력의 손해사정사 · 보험사 조사관 출신 직원
허리 보조기 착용? 발목 골절?
실비, 골절 진단비 외에 후유장해 진단금 받을 수 있습니다. 대부분 수백, 수천만 원의 매우 큰 금액이니 놓치지 않도록 오늘의 내용에 유의하세요!

후유장해 진단금이란?
상해 사고나 질병으로 인해서 치료 후에도 후유증이 남았을 때 신체적, 정신적인 불편함에 대한 금전적인 보상입니다. 대부분의 경우 생명, 손해, 운전자 보험에 특약으로 가입이 되어 있으니 확인해 보세요. ▽ 보험 증권 예시

후유장해 기준
그럼, 보상이 되는 기준은 무엇일까요? 환자가 느끼는 아픔, 불편함이 아니라 의사의 객관적인 진단에 기반하여 결정됩니다. 예를 들어 1. 발목 골절로 핀 고정술 받은 A 님 재활을 했으나 관절의 강직이 남았을 때 발목 운동 범위가 최소 3/4 이하로 제한된 경우 해당됩니다. 2. 허리 골절로 보조기 착용하는 B 님 척추체의 압박률, 기형 각도에 따라 해당이 됩니다.
신체 부위별로 눈, 다리, 척추, 팔 등 몸의 전반적인 부분에 걸쳐 내용을 명시하며 약관에 따라 그 기준은 상이하니 보다 꼼꼼하게 살펴보셔야 합니다.

진단서 발급 유의사항 (예시)
후유장애로 인정되기 위해 의사의 객관적인 소견이 담긴 장해 진단서 발급이 매우 중요합니다. 종류가 여러 가지이기 때문에 요구되는 양식으로 정확히 받아야 합니다.
- 개인보험 청구할 때 (AMA 방식)
AMA 방식은 미국 의사협회에서 제정한 기준으로, 나이나 직업 등에 관계없이 신체의 기능만을 평가합니다. 만약 내가 가입한 보험회사에 후유장애 진단금을 청구하려고 할 때는 AMA 방식의 장해 진단서를 발급받으셔야 합니다.
.jpg?type=w966)
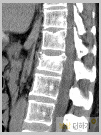
사례 1. 허리 골절
서울에 거주하시는 김 ** 님은 음식점에 들어가시다가 출입문에 부딪히셨고, 넘어지면서 엉덩방아를 찧어 허리 골절이 되는 사고를 당하셨습니다. · L1 압박골절 · 보존 치료 (보조기)

장해 진단서 발급 거부 김 ** 님의 주치의 분은 유합술이나 시멘트술을 한 것이 아니라 후유장해 진단서 발급에 특히 부정적인 반응을 보였습니다. 이때 적절히 대응하지 못한다면 진단금 청구 자체를 할 수가 없습니다. 안타깝게도 이러한 상황은 생각보다 자주 발생합니다. 손해사정사의 역할 다친 것도 서럽고 불편한데 마땅히 받아야 할 보상을 놓치는 일이 있어선 안 되겠죠! 따라서 후유장해 진단금 청구는 손해사정사의 도움을 받는 것이 좋습니다. 손해사정사는 가입자가 이해하기 어려운 약관, 보상 항목에 대해 명확히 알고 적용하며 장애 평가에 있어 어려움이 생기거나 누락, 오차에 대비하여 필요한 준비를 합니다. 2천만 원 지급 그럼, 저희 업체에서 도움을 드린 김 ** 님의 보상 결과는 어땠을까요? 장해 평가 및 보험사와의 분쟁 등 여러 가지 쉽지 않은 상황 가운데서 전반적으로 진행을 도와드린 결과 2천만 원 이상을 지급받으셨습니다.
- 교통사고, 합의금 등 청구할 때 (맥브라이드 방식)
맥브라이드 (Mcbride) 방식은 장애로 인한 노동능력 상실을 중점으로 평가합니다. 배상 책임, 교통사고 등 가해자에게 합의금을 청구하는 상황이면 맥브라이드 방식의 장해 진단서를 발급받으셔야 합니다.
.jpg?type=w966)
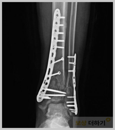
사례 2. 발목 골절
정 ** 님은 마주 오던 차와 충돌하는 교통사고로 발목 골절이 되는 부상을 입으셨어요. · 경골 및 비골 원위 분쇄골절 · 내외부 핀, 금속 고정 수술 아래쪽 다리뼈를 구성하는 경골과 비골의 하단이 모두 손상되었고, 뼈가 여러 조각으로 부서진 복잡한 형태의 손상이었기 때문에 보존적인 방법으로는 치유를 기대할 수 없어 수술이 시행되었습니다. 객관적인 장해 진단 및 합의 정 ** 님은 가해자가 있는 교통사고였고, 이때는 맥브라이드 방식으로 장애 진단을 해야 하죠. 해당 사고로 인해 얼마큼의 노동 능력이 상실되었는지가 핵심인데요. 이러한 부분들을 의사분들이 모두 알고 기재해 주시기는 어렵습니다. 치료에 대해 전문가이지 보상과 배상에 대해서는 아니기 때문입니다. 5,500만 원 지급 「보상 더하기」 손해사정사는 객관적인 장애 평가와 손해액 산정을 통해 적정한 합의금이 지급되도록 도움드렸는데요. 족관절의 강직 및 신경 손상으로 적정한 장해율을 인정받아 위자료, 일실수입 등에 적용하여 최종 5천5백만 원이 넘는 합의금을 받으셨습니다.
후유장해 진단금 받기 오늘은 장애 진단서 발급 및 실제 사례를 소개해 드렸습니다. 약관 해석 및 의학적 지식이 필요한 만큼 온전히 이해하고 준비하기가 쉽진 않을 것입니다. 아래 연락처로 문의하시면 전문가 무료 상담 및 착수금 없는 진행 가능하니 편하게 연락하세요 :)


