
팔꿈치 골절 수술하셨나요? 골절 진단비, 수술비, 실비 외에 장해에 대한 보상도 가능하다는 점 기억하세요! 보통 수백만 원~수천만 원으로 금액이 큰 보상이지만 놓치는 분들이 많습니다. 오늘 말씀드릴 내용을 잘 보시고 해당되신다면 꼭 확인하시기 바랍니다.
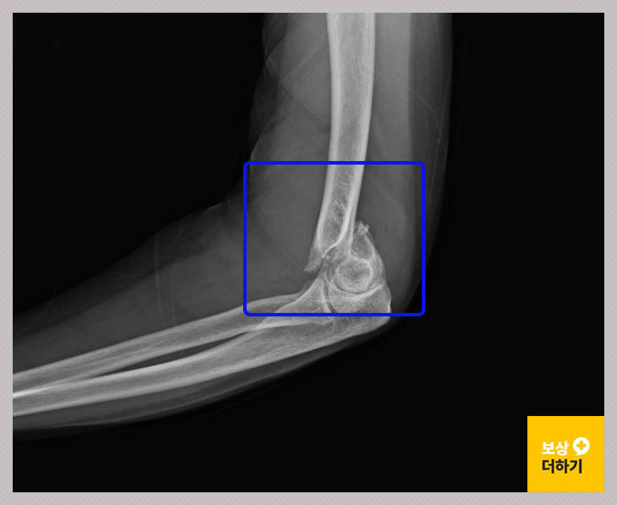
상완골 원위부 (팔꿈치)
상완골은 어깨와 팔꿈치 사이의 뼈입니다. 아랫부분 즉 하단을 상완골 원위부라고 하고, 쉽게 팔꿈치 부위라고 생각하시면 됩니다.

팔꿈치 골절 수술 후 장해 보상 가능한 이유
팔꿈치 관절은 상체의 움직임에 많은 영향을 줍니다. 따라서 이곳에 골절이 발생하면 팔을 움직이거나 힘쓸 때 문제가 생기죠. 식사를 하고 세수를 하는 등 기본적인 일상생활에도 큰 불편함이 따릅니다. 만약 치료를 충분히 받은 후에도 팔을 움직이는 데 제한이 남는다면 개인 보험에서는 후유 장해로 보고 그에 대한 보상을 해줍니다. (보상에 대한 구체적인 기준이 있습니다)

개인 보험 후유 장해 보상 어떻게 받을 수 있나요?
① 후유장해 보험 가입 확인 사고 전에 가입하신 개인 보험의 상해/재해 후유 장해 가입내역을 확인하세요. 여러 개 가입하신 경우 모두 중복 보상 가능합니다. 운전자 보험, 상해·생명보험 특약 상품으로 대부분 들어있으니 생각 안 나시더라도 확인은 꼭 해보시기 바랍니다. <보험 증권 예시>

② 장해 기준 검토 가입되어 있더라도 보험약관의 장해 기준에 맞아야만 보상이 가능합니다. → 본인이 기준에 맞는지 검토해야 합니다.
상완골 팔꿈치 골절의 경우 다음과 같은 기준으로 지급이 됩니다. * 심한 (지급률 20%) 팔꿈치 관절의 운동 범위 합계가 정상 운동 범위의 1/4 이하로 제한 * 뚜렷한 (지급률 10%) 정상 운동 범위의 1/2 이하로 제한 * 약간의 (지급률 5%) 정상 운동 범위의 3/4 이하로 제한 (보험 가입금액 × 해당 지급률 = 보험금)

③ 장해 진단서 발급 본인이 위의 장해 기준에 맞는다면 이에 대해 증명할 수 있어야 합니다. 증명할 수 있는 서류 가운데 중요한 것은 장해 진단서입니다. 일반적으로 주치의에게 요청을 드립니다.
다만, 여기서 생각하실 점이 있어요. ▶ 주치의의 거절 의사가 자신이 치료한 환자에게 장해가 남았다는 것을 서류상으로 기록해 주는 것이 결코 쉬운 일은 아닙니다. 또한 보험회사와 생길 수 있는 여러 귀찮은 상황들이 염려될 수 있어요. 따라서 실제로 많은 분들이 진단서 발급을 거절당하시고 문의를 하십니다. ▶ 정확하지 않은 평가 개인 보험 약관의 장해 기준을 의사분들이 모두 잘 알고 계시지 않아서 여러분들께 불리한 소견이 나올 수 있습니다. 이는 곧 보상 금액이 많이 깎이거나 부지급될 위험이 있다는 얘기입니다.

적정한 보상받으려면 전문가 도움 필요
약관의 장해 기준을 확인하고 자신에게 알맞게 적용을 해서 유리한 방식으로 평가를 받는 것, 이후 보험사와의 분쟁에서 논리적인 대응을 하는 것, 정말 무엇 하나 쉬운 일이 없습니다. 따라서 적정한 보상을 위해서는 전문가의 도움을 받으라고 말씀드립니다.
「보상 더하기」는 해당 분야에서 십 년 이상 경력의 손해사정사와 보험사 조사관 출신 직원이 함께하여 누구보다 유리한 입장에서 도움드립니다.
팔꿈치 골절 「보상 더하기」에서 진행한 실제 사례
그럼, 저희가 실제로 처리한 사건을 소개해 드리겠습니다.
사건 요약
60대 여성인 최 00 님은 길에서 돌부리에 걸려 넘어지는 사고로 다음과 같은 진단을 받으셨어요. 좌측 상완골 원위부 골절 S4230 왼쪽 팔꿈치가 골절된 것이죠.

위 사고로 수술이 진행되었는데요. 금속 고정술을 받고 18일간 입원하셨습니다. 관절 부위는 외상 후 강직이 발생하기 쉽기 때문에 재활치료도 열심히 받으셨습니다.

전문가 선임하여 진행 1,500만 원 지급
실비, 진단비, 입원일당 등 비교적 간단한 부분은 혼자 처리를 하셨어요. 하지만 후유 장해 보험금은 금액이 커서 지급이 상당히 까다롭기에 전문가 선임을 하여 진행하셨습니다.
저희는 사례자 최 00 님의 의무 기록 및 영상 CD 등을 검토하여, 장해 평가 시 누락 없이 진행될 수 있도록 필요한 준비들을 철저히 하였습니다. 이후 공신력 있는 의료기관에서 객관적인 의사의 소견을 받았고, 이러한 의학적 근거에 따라 손해사정서를 작성하여 제출할 수 있었죠. 최대한 적게 지급을 하려고 하는 보험사와의 분쟁이 있었기 때문에 여러 차례 의견이 추가적으로 오갔는데요. 이러한 쉽지 않은 과정의 결과, 후유장해 보험금 1,500만 원을 지급받을 수 있었습니다.

팔꿈치 골절 수술 후 보상은 신중하게! 먼저 전문가 무료상담받고 최대한 지급받으세요!
상완골 팔꿈치 골절 수술 후에 후유증이 남는다면 일상생활에 불편함이 생기기에 충분한 보상은 반드시 이루어져야 합니다. 저희는 착수금 없이 진행을 하며 모든 상담은 무료이니 편하게 문의하셔서 전문가 도움이 필요한지 자세히 검토해 보시기 바랍니다. - 전 지역 무료상담 -
