
발목 거골 골절 산재 보상 후 근재 보험에서 비급여 치료비 / 장해 보상
근무 중이나 출퇴근 중에 발생한 사고로 발목 골절되셨나요? 산재보험에서 보상받으신 후 추가적으로 보상받으실 수 있는 것! -> 바로 근재 보험입니다. * 치료비 * 위자료 * 향후 치료비 * 일실수입 * 휴업손해 위와 같은 항목에서 손해액을 산정하여 지급받을 수 있습니다. 비급여 치료비 및 위자료 등 산재보험에서 못 받은 부분과 장해급여, 휴업급여 등에 대한 초과 손해에 대해서도 보상합니다.
- 치료에 따라서 비급여 부분이 많이 발생하는 경우가 있는데요. 재해자 본인이 지불해야 하기 때문에 예상치 못한 비용으로 큰 부담이 될 수 있습니다. 또한 수술 후에도 후유증이 남아서 장해급여를 받았어도 이를 초과하는 장해 일실수익 등을 보상해 주고 있으니 -> 회사에 가입 여부를 확인하여 꼭 받으시기 바랍니다! (궁금한 점은 하단 전화, 카톡, 댓글로 문의하세요)
거골 골절 장해 보험금 제대로 받기 (근재 보험 지급 사례)
건설 현장 일용직 근로자
T 님이 현장에서 근무하시면서 발생한 사건으로 근재 보험을 통해 후유 장해에 대한 보험금 받은 내용입니다. 비슷한 상황에 처하셨거나 골절 등의 심각한 부상을 당하셨다면 유의해서 봐 주시고 도움 얻으시기 바랍니다. 사례자는 작업 발판을 설치하던 중 체중을 실었던 발판이 떨어지면서 함께 추락하는 사고를 당하셨습니다.

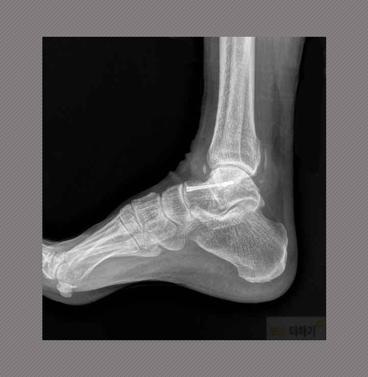
거골 개방성 골절, 탈구 인대 파열
오른쪽 발목을 심하게 다쳤고, 거골 개방성 골절 및 탈구 진단받으셨어요. (↓거골 위치는 다음과 같습니다.)

또한 주변 인대도 손상되었어요. 발목 외측의 전거비인대, 종비인대 내측의 삼각인대가 모두 파열되었습니다. (↓전거비인대, 종비인대, 삼각인대)

거골 골절 형태도 개방성으로, 어긋난 뼈가 살갗을 뚫고 나온 좋지 않은 상태인데 주변의 인대까지 손상을 입었으니 치료와 회복이 쉽지 않았음을 예상할 수 있습니다. 뼈가 안정적으로 붙고 후유증이 최대한 남지 않도록 수술을 받으셨어요. (관혈적 골 정복술, k-wire 금속 강선, 금속나사 고정술, 복합 피부이식술 등이 시행되었습니다.)

보험금 보상 문의하셨어요 (독립 손해사정사)
T 님은 갑작스러운 사고에 본인이 부담한 치료 비용까지 생각지 못한 지출에 난감해 하셨어요. 저희 「보상 더하기」에서는 재해자분의 상황을 자세히 검토하여 비급여 치료비 외에도 추가적인 보상이 가능함을 설명드렸어요. 빠지거나 손해 보는 부분이 없이 적정한 금액으로 지급받기 위해 저희가 사건을 위임받아 진행하게 되었습니다.

손해액 산정 제대로 하기 (전문가의 영역)
근재 보험에서 가장 큰 부분은 일실수익입니다. 사고가 발생하지 않았더라면 장래에 얻을 수 있었을 것으로 예측되는 이익 또는 소득을 말하는데요. 해당 사고로 후유증, 후유 장해가 신체에 남을 경우 앞으로 일을 하는 데 큰 불편함을 주기 때문에 이에 대해서 손해액을 산정하여 보상을 하는 것이죠. -> 일실수익을 산정하기 위해서는 고려해야 할 부분이 많아 계산법이 매우 복잡합니다. (노동능력 상실률, 가동 연한, 소득액 등을 고려하며 산재 장해급여 보상액 공제하기 등) 놓치는 부분 없이 제대로 손해액을 산정하는 것은 전문가의 영역입니다. 혼자 하시는 것보다 독립 손해사정사 선임하여 진행하시는 게 유리합니다. (사안에 따라 선임이 필요하지 않다면 그 점에 대해서도 말씀드리고 있으니 언제든 문의하셔서 무료 상담받으세요)

보험금 1,300만 원 이상 (근재 보험)
T 님은 거골 골절 및 인대 파열 후유증으로 발목 기능에 문제가 있었습니다. 운동 범위가 정상 발목에 비해 상당한 제한이 남아 있었기 때문에 이에 대해 의학적 근거에 기초하여 손해액 산정을 하였습니다. 보험사의 심사 과정이 쉽진 않았으나 적극적인 의견 개진 끝에 보험금 1,300만 원 이상 지급받을 수 있었습니다.
"혼자서는 어려운 보험금 보상 문제" 전 지역 무료 상담하니 언제든 문의하셔서 도움 받으시기 바랍니다.

클릭하시면 전화, 카톡으로 연결됩니다 :)

