
축구, 농구, 야구 등 경기를 관람하는 것에 더해서 직접 운동에 참여하는 분들이 많이 계십니다. 비교적 격렬한 운동이다 보니 인대 파열, 골절 같은 부상이 발생하곤 하는데요. 오늘은 야구 시합을 하다가 발목 (경골 하단) 골절 수술받으신 분의 사례 소개 드리겠습니다. 비슷한 사고를 겪으셨다면 후유장해 및 개인보험 보상과 관련해 어떤 점을 유의해야 하는지 살펴보시기 바랍니다. ▶ 야구 경기 중 사고, 해당되는 보험금은? ▶ 경골 하단 골절, 후유장해 남을까? ▶ 개인보험 보상 실제 사례

야구 경기 중 사고, 해당되는 보험금은?
● 개인보험 → 실비(실손 의료비) 대부분 가입되어 있을 텐데요. 치료가 필요한 경우 지불한 병원비에 대해 청구할 수 있죠. → 입원비 일당, 수술비, 골절진단비, 수술비 특약, 종별 수술비 등 부상 정도와 수술 여부, 가입 상품 등 각자의 상황에 따라 보상받을 수 있습니다. → 후유장해 보험금 골절과 같은 부상은 치료 후에도 여러 후유 증상이 남을 수 있는데요. 이때 해당 특약이 있는지 확인하여 청구하셔야 합니다. ★ 보상이 가능한 항목 중 고액에 속하기 때문에 특히 중요합니다. ● 가해자 측 보험 → 일상생활 배상책임보험 내가 다친 원인이 상대방에게 있을 때 가능합니다. * 다음과 같은 점들을 확인해야 합니다. 1) 보험 가입 유무 2) 과실에 대해 명확히 입증 예를 들어, 상대방이 무리하게 반칙하여 다치게 되었다면 이에 대한 증거가 있어야 합니다. 운동 경기는 위험이 따른다는 점을 인지한 상태에서 참여한 것이기 때문에 상대방의 과실이 없거나 입증이 안된다면 배상 청구는 불가합니다. → 시설물 배상책임보험 야구 경기장 측의 관리 소홀이나 시설물의 하자와 같은 원인으로 다쳤을 때 청구할 수 있는데요, 이 또한 과실 입증이 매우 중요합니다.
이처럼 내가 어떻게 다쳤는지와 부상의 정도에 따라 해당되는 보험과 준비해야 할 부분들이 다를 수 있습니다. 따라서 합당한 보상을 위해서는 전문가 - 독립손해사정사의 상담을 받아보시길 권유 드려요. (* 「보상 더하기」는 전문가 무료 상담합니다)

경골 하단 (발목) 골절, 후유장해 남을까?
의학의 발달로 제때에 치료를 받으면 시간이 지나 많은 경우 회복이 되지만, 경골 하단 즉 발목이 골절되어 수술까지 받아야 할 정도인 경우, 여러 가지 후유증이 남을 확률이 높습니다. 발목 관절의 움직임 제한이 되는 강직(ankylosis)이나 운동신경 등에 의한 발목의 기능을 잃는 마비(paralysis)가 대표적입니다. 이러한 후유장해 발생 시 앞으로의 생활에 큰 지장을 주기 때문에 해당되는 담보가 있다면 꼭 청구하여 보상 받으시기 바랍니다. * 자세한 점은 실제 사례를 통해 알아보겠습니다.

개인보험 보상 실제 사례
L 님은 야구 경기 중 다치셨는데요. 슬라이딩을 하면서 발목이 베이스에 걸린 것이죠. 경기해 보신 분들은 아시겠지만 실제로 이런 식으로 부상이 많이 일어납니다.

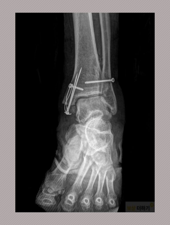
▷ 진단명 : 좌측 발목 경골 하단 골절 (S82.380) 좌측 비골 경부 골절 경골 하단의 경우에는 뼈의 어긋난 정도가 심각해서 수술적인 치료가 필요한 상황이었습니다.

관혈적 정복 및 내 고정술 시행 받으시고 이후에는 부목 고정을 하였습니다. 한동안 목발을 이용하시면서 보존적인 치료를 계속하셨는데요. 몇 달 동안 고정된 상태에 있다 보니 관절의 강직 현상이 자연히 따라오게 되었죠.

개인보험 보상 L 님은 개인적으로 가입하신 생명, 상해보험에서 해당되는 부분 즉 수술비, 실비, 골절진단비 등을 청구하여 받으셨어요. 하지만 후유장해 관련해서는 알아보시다가 전문가의 도움이 필요하다는 것을 느끼시고 상담을 요청하셨죠.
후유장해 보험금 어떻게 받나요?
◆ 지급 기준에 맞아야 합니다 보험약관에는 '장해' 기준이 있는데요. 신체 부위별로 각각 명시되어 있습니다. 후유증 즉 장해가 남았더라도 약관상 장해에 해당되지 않는다면 보상은 되지 않습니다. 예를 들어, 다리의 "기능장해"는 다음과 같습니다. * 기능 - 완전히 잃음 (30%) - 심한 (20%) - 뚜렷한 (10%) - 약간의 (5%) 경골 하단 골절 후에 발목 운동 범위가 제한되었을 때 그 제한된 정도에 따라서 지급률이 인정되는 것입니다. ◆ 장해 진단을 받아야 합니다 내 상태가 뚜렷한 장해에 해당되는지, 약간의 장해에 해당되는지에 따라 지급률은 각각 10%, 5%입니다. 이 말은 가입 금액이 5천만 원일 경우 각각 5백만 원, 250만 원을 받을 수 있다는 것이죠. 이렇듯, 보상 금액에 큰 차이가 생기니 -> 정확한 진단을 받는 것은 매우 중요한 일입니다. 장해 진단은 일반적으로 치료를 해준 주치의로부터 받는데요. 약관 기준을 모두 숙지하고 있지는 않아 놓치는 부분이나 오차가 생길 수 있습니다. 이로 인한 손해는 사고 당사자에게 오는 것이죠ㅠ 따라서 비전문가인 일반인에게는 독립손해사정사와 같은 전문가의 도움이 필요합니다.

L 님은 「보상 더하기」에 후유장해 보상 관련하여 사건을 위임해 주셨고, 저희는 L 님의 발목 관절 운동 기능 장해에 대해 빠짐없이 보상을 받을 수 있도록 노력하여 600만 원 이상을 지급받을 수 있었습니다.
비전문가에게 어려운 보험금 보상 문제, 전문가의 무료 상담 가능합니다
오늘은 야구 경기 중 발목 골절 부상당하신 분의 사례를 살펴보았습니다. 비슷한 어려움 겪으셨다면 혼자서는 어려울 수 있습니다. 궁금한 점에 대해서 전화, 카톡, 댓글로 문의하시면 자세히 상담 드리겠습니다. - 전 지역 무료 상담 -
