
팔꿈치 관절인 주관절 골절은 교통사고나 넘어지면서 많이 일어납니다. 만약 골절의 정도가 심해 인공관절 치환술을 했다면 개인보험에서 상해 후유장해 보상은 어떻게 될까요? 오늘 그 점에 대해 알아보겠습니다.
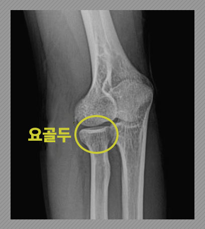
주관절 요골두 골절
모든 팔꿈치 골절의 약 30%가 요골두에서 나타난다고 하는데요. 그 위치는 다음과 같습니다.

대부분 손을 뻗은 상태로 넘어지면서 골절, 탈구가 발생합니다. 뼈가 원래 위치에서 어긋나지 않은 비전위이거나 전위가 심하지 않다면 깁스 등 보존적 치료가 가능합니다. 하지만 전위가 심한 경우 또는 골절편이 여러 개인 분쇄 형태라면 수술적 치료가 필요할 수 있습니다. (내고정술, 절제술, 인공관절 치환술 등)
팔꿈치 인공관절 치환술 개인보험 상해 후유장해 지급 기준
보험약관의 '팔의 장해' 기준은 가입시기에 따라 차이가 있는데요. 인공관절이나 인공 골두를 삽입한 경우 2018.04 이전 지급률 30% (기능을 완전히 잃었을 때) 2018.04 이후 지급률 20% (심한 장해를 남긴 때) ※ 예시 A 씨의 보험 가입은 2020년이고, 가입 금액이 5천만 원이라면? 5천만 원 × 20% = 1천만 원을 보험금으로 받는 것입니다.
받기 어려운 이유
약관의 후유장해 기준을 보면 비교적 간단해 보여 그냥 청구하면 될 것 같지만 현실적으로 어려움이 생길 수 있는데 그 이유를 살펴보면 다음과 같습니다. 우선, 상해 후유장해는 질병보다 보상 금액이 높기 때문에 보험사에서 되도록 질병으로 분류하여 처리하기 원합니다. ▶ 외상 기여도 골다공증이나 골감소증이 있는 경우 골절의 발생 확률이 높고, 그 정도가 더 심할 수 있죠. 따라서 질병과 상해의 기여도를 판단하여 최대한 지급 금액을 삭감하려고 합니다. ▶ 스테로이드 사용 합병증 스테로이드 약물을 장기간 복용하면 부작용으로 무혈성 괴사가 발생하여 인공관절 치환술을 시행할 수 있습니다. 이 경우 스테로이드 약물 장기간 복용 및 투여로 인한 것은 합병증으로 보아 질병으로 주장할 것입니다.

매일 비슷한 청구 건에 대해서 수많은 처리를 하는 대형 보험회사를 상대로 전문 지식, 의학적 근거를 가지고 대응을 하기란 결코 쉽지 않은 일입니다. 소비자분들 입장에서 도와줄 독립손해사정사와 같은 전문가가 필요한 것이죠.
실제 지급 사례 - 팔꿈치, 요추 골절 -
B 님은 집 수리를 하시던 중 사다리에서 낙상사고를 당하셨습니다. 팔꿈치, 허리 부위를 다치셨고 정밀 검사 결과 다음의 진단을 받았습니다. - S52120 주관절 요골두 분쇄골절 - S32030 요추 2번 압박골절

허리인 요추 2번은 보조기를 차는 보존적 치료를 하셨고, 팔꿈치인 주관절 요골두는 인공관절 치환술을 해야 한다는 소견에 따라 수술을 시행 받으셨어요.
후유장해 보험금 제대로 받기 위해 전문가 선임
B 님은 팔꿈치, 요추 부상으로 신체에 남게 된 후유증에 대해 적정한 보상을 받기 위해 알아보시던 중 혼자 하기에는 어려움이 많아 저희에게 관련 업무를 위임해 주셨어요.
요추는 비수술 치료하신 것으로, 약관상 기형 장해에 해당될 수 있는데 척추체의 압박률 또는 만곡 정도에 따라 평가합니다. 주관절의 경우 B 님의 가입 시기를 고려할 때 30% 인정받을 가능성이 있는데요. 문제는 이에 대해 전문의의 장해 평가 및 의학적 근거를 바탕으로 정확한 손해 사정을 하는 것입니다. 의사들마다 평가 방식에 차이가 있고, 기왕증 등 개개인마다 상황이 달라서 보험사와의 분쟁이 다분하기 때문에 쉽지 않습니다.

저희는 B 님의 실제 신체 상태에 대해 누락이나 오차가 생겨 손해를 보는 일이 없도록 최선을 다했고, 위와 같은 전문의의 장해진단서, 의료 기록지 등을 근거로 손해 사정서를 작성하였습니다. 이번에도 역시 보험사와의 분쟁은 피해 갈 수 없었지만, 한 달여에 걸친 심사 및 자문 과정 끝에 후유장해에 대한 보상으로 약 2,400만 원 지급받도록 도움드릴 수 있었습니다.
인공관절 치환술 하셨나요? 척추 압박골절 진단받으셨나요? 후유장해 보험금 만큼은 준비가 많이 필요합니다. 청구하기 전에 전문가의 상담받아보세요. 전화, 카톡, 댓글로 언제든 무료 상담 가능합니다.
※ 십 년 이상 경력의 손해사정사, 보험 조사관 출신 전문가와 함께합니다. 보상 더하기

