십 년 이상 경력으로 수많은 성공 사례를 가진 실력 있는 손해사정사와 함께합니다 보상더하기

평범한 일상 중에 흔하게 발생하는 사고, 그중 하나는 발목이 삐끗하는 일일 거예요. 미끄러운 지면이나 높은 굽의 신발, 바쁜 출근길에 빨리 걸어가다가, 계단에서 발을 잘못 디뎌서.. 이런 여러 가지 이유로 한 번쯤은 겪어봤을 만큼 많이 일어나고 있습니다. 만약 골절로 이어져서 수술이 필요한 정도라면 오늘의 내용에 유의하세요! 몇 년 전 사고였어도 아직까지 발목 관절 움직임이 좋지 않다면 후유장해에 대한 보상 받으셔야 합니다.

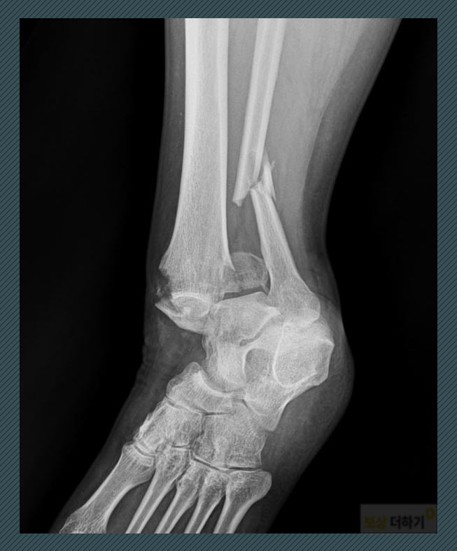
미끄러운 길 조심! - 경비골 하단 골절 -
오늘 소개드릴 사례자는 미끄러운 지면 길을 걷다가 넘어지면서 다치셨습니다. 겨울철 빙판길이나 빗길에 특히 많이 일어나는 사고입니다. 엑스레이 상 뼈의 모양을 보면 부상이 꽤 심각했다는 것을 알 수 있죠.

진단: S82320 경비골 하단 골절 위의 사진을 참고해 보시면, 다리뼈는 경골과 비골로 구성되어 있어요. 안쪽의 굵은 뼈가 경골, 그 옆의 가는 뼈가 비골인데요. 두 곳에 모두 부상을 입은 것입니다. 경비골 하단(원위 경비골) 즉 발목 쪽에 골절이 되면서 수술이 필요한 상황이었습니다.

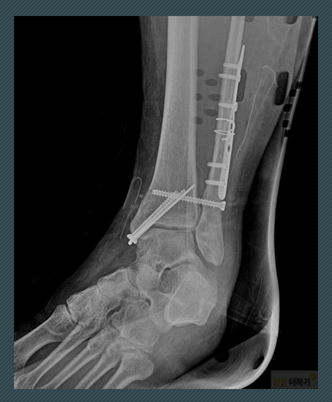
모든 발목 골절이 수술을 필요로 하는 것은 아니지만 사례자의 경우, 안정적인 뼈의 유합을 위해 금속판 내고정술을 시행 받으셨습니다.

수술을 통해 유합은 잘 되었지만, 금속물이 골절된 뼈의 위아래로 고정되어 있기 때문에 발목 관절이 예전처럼 잘 움직일 수는 없었습니다. 시간이 지나 핀 제거 수술을 했고, 경과를 보며 재활의 강도를 높이며 회복을 위해 노력하셨어요. 사고 몇 년 후 - 후유장해 -
의뢰인은 의사로부터 수술이 잘 되었으니 관절 강직 등 당분간은 불편할 수 있겠지만 어느 정도 시간이 지나면 괜찮아진다는 말을 들으셨어요. 그래서 후유증에 대해 생각을 하지 않으셨는데요. 하지만 몇 년이 지나도 여전히 발목의 움직임에 제한이 많고 불편했기 때문에 후유장해에 대해 알아보셨어요. 그러던 중 『보상더하기』에 문의하셨고 자세한 상담 후, 합당한 보험금 산정을 위해 사건을 위임하셨어요.

개인보험, 단체보험 - 상해 후유장해 -
사고 전에 가입하신 개인보험이나 회사 단체보험 등의 상해, 재해 후유장해 담보가 있다면 신체에 남은 후유증에 대해 보험금을 청구할 수 있는데요. 의뢰인은 행정직 공무원으로 단체보험에 해당 항목이 있었습니다.


가입 금액은 1억 5천만 원으로, 장해 정도에 따라 인정된 지급률을 곱하여 보험금이 지급됩니다. 따라서 얼마큼의 장해가 남았는지 제대로 평가를 받는 것이 중요합니다. 내 상태에 못 미치는 평가를 받으면 더 낮은 지급률이 적용되거나 아예 해당되지 않을 수 있죠. 그럼, 결국 보상을 못 받거나 훨씬 적은 금액으로 지급받게 되는 것입니다.

적정한 보험금 산정 - 경비골 하단 골절 - (발목 관절)
의뢰인은 3년 전의 일이었지만 해당 사고로 인해 현재 발목 관절이 움직이는 데 제한이 남아있기 때문에 약관상 '기능 장해'에 해당될 수 있습니다. 다만, 위에 언급한 것처럼 어느 정도인지가 중요하기에 공신력 있는 병원 전문의에게 객관적인 평가를 의뢰하였습니다.

발목을 위아래로 굽히고 펴는 동작, 안쪽 바깥쪽으로 돌리는 동작에서 정상적인 운동 범위와 비교를 하는데요. 제한의 정도를 보면, 정상 운동 범위의 1/2 이하로 "뚜렷한 장해"(지급률 10%)에 해당됩니다. 저희는 이러한 근거를 바탕으로 손해사정서를 작성하여 제출하였습니다. 보험사는 자체적인 의료자문을 통해 감액 또는 부지급의 사유가 있을지 철저히 검토했습니다. 개개인들이 이러한 과정에서 적절한 대응을 하는 것은 정말 어려운 일이죠.
후유장해 보험금 1,500만 원
『보상더하기』의 적극적인 의견 개진을 통해 결국, 처음 청구했던 그대로 인정을 받아 1,500만 원을 지급받을 수 있었습니다.
오늘은 경비골 하단 (발목) 골절 사고 피해자분의 사례를 살펴보았습니다. 몇 년 전 사고였어도 수술 이후 남은 후유증에 대해 보상이 가능하다는 점 기억하시고, 자신에게도 해당되는 보상이 있을지 궁금하시다면 아래로 문의하세요. >> 상담은 무료입니다


