
안녕하세요 보험소비자와 함께하는 「보상더하기」입니다
손가락이 날카로운 물건에 살짝 베이면 통증뿐만 아니라 핸드폰 사용, 식사, 세수 등 기본적인 활동들도 많이 불편해집니다. 이런 작은 부상이 아니라 인대파열, 골절과 같은 비교적 큰 부상이라면 더 말할 것도 없겠죠. 교통사고나 격렬한 운동 중에만 발생되는 것이 아니라 일상 생활에서도 자주 일어나기 때문에 항상 조심해야겠습니다.

오늘 공유해 드릴 사례는 손가락 골절과 인대파열로 내고정술, 건봉합술을 받은 분의 이야기입니다. 비슷한 경우라면 더욱 유의해서 보시기 바랍니다!
손가락 골절, 인대파열 보험금 지급 실례
사고 발생 - 진단과 치료

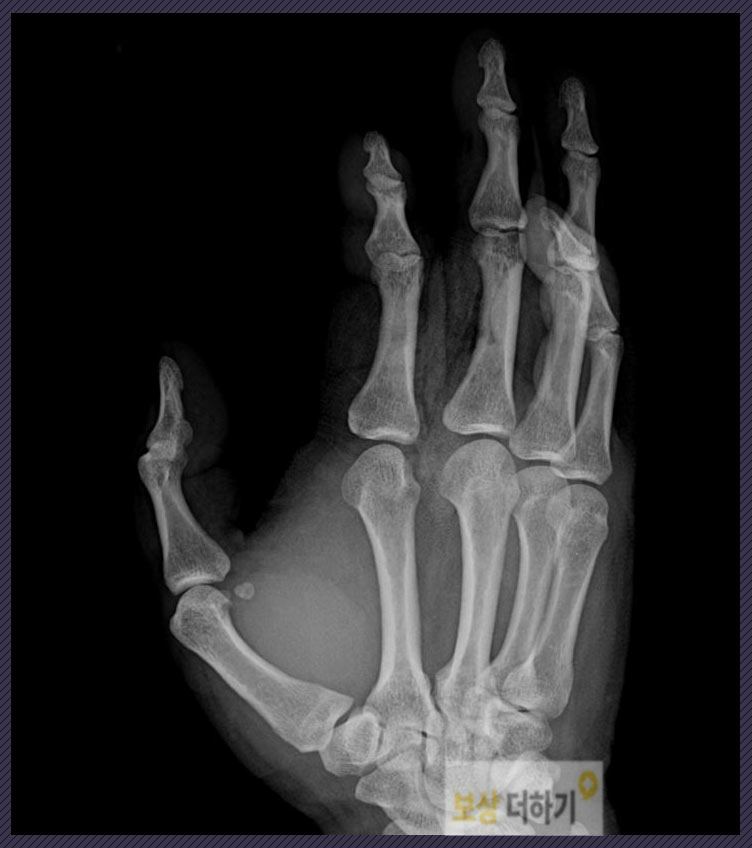
S님은 작업 중에 기계를 만지다가 프로펠러에 오른쪽 손이 말려 들어가는 사고를 겪었습니다. 사고가 난 후 즉시 동료 직원에 의해 기계의 작동을 멈출 수 있었어요. 그래서 그나마 다행히 손 전체가 안으로 들어가진 않았습니다. 하지만 오른쪽 손가락 여러군데를 크게 다치고 말았죠.

진단: S62631, S6610, S610, T888 우측 2,3,4수지 즉 오른쪽 검지, 중지, 약지 손가락 모두 부상을 입었는데요. 피부연부조직 결손 및 2수지 골절, 3수지 굴곡건 즉 인대파열 4수지 피부 괴사 등의 진단을 받았습니다.

이로 인해 수술적 치료가 필요했습니다. 골절된 손가락 뼈는 제 위치를 잘 맞추어 고정을 시켜줘야 했기에 내고정술을 하였고, 굴곡건 파열 즉 인대가 파열된 부분은 건봉합술을 시행하였습니다. 그 외에 연부조직 결손에 대한 치료도 포함하여 모든 수술을 무사히 마쳤습니다.
저희에게 문의주신 이유는?
작업 중 다친 사고로 산재보상은 받으셨지만 개인보험에서도 후유장해 보상을 받기 위해 문의주셨습니다. 진단비, 수술비 같이 간단히 청구할 수 있는 게 아니다보니 어려움을 느끼고 연락하신 거였죠. S님의 상황에서 후유장해 보험금 청구가 가능할지, 예상 금액은 어느 정도일지 상담을 드렸습니다. 그런 후에 저희와 함께하기로 결정하셨어요.
내고정술, 건봉합술 받고 후유장해 보상 가능할까?
골절이 되거나 인대(힘줄)가 파열되었을 때 내고정술, 건봉합술을 받게 됩니다. 이런 경우 어떤 후유증이 남을 수 있을까요? 손가락의 굽히고 펴는 동작이 잘 되지 않을 수 있고, 손가락의 신경이 손상되어 감각에 이상이 생길 수 있습니다. 보험약관에서는 이러한 장해에 대해 보험금을 지급한다고 알려줍니다. 하지만 무조건 주지는 않겠죠. 그 기준을 보면 다음과 같습니다.
【기능장해】 5개 손가락 모두의 뚜렷한 장해 30% 첫째손가락의 뚜렷한 장해 10% 2~5번째 손가락의 뚜렷한 장해 5%
'뚜렷한 장해'로 인정 받으려면? 관절의 운동범위를 측정해서 정상각도와 비교해야 합니다. 움직임이 어느 정도나 제한되는지 보는 것이죠. 굽히고 펴는 각도가 정상의 1/2 이하인 경우 장해에 해당됩니다. 또한 여러 손가락에 장해가 발생했다면 지급률을 각각 적용하여 합산합니다.

후유장해 인정 받았나요? 보험금액은?
운동범위 측정은 의사로부터 받아야 하는데요. 사람이 하는 것이다보니 누가 하느냐에 따라 각도에 약간의 차이가 발생합니다. 그 약간의 차이로 인해 보험약관에서 명시하는 기준에 달하지 못하여 보상을 못 받는 일도 일어납니다. 저희는 S님이 객관적인 검사를 통해 신체 상태에 대한 정확한 평가를 받을 수 있도록 처음부터 꼼꼼하게 준비를 하였습니다. 주치의의 장해 소견에 대한 회의적인 태도로 어려움도 있었지만, 결국 발급받은 장해진단서와 의료기록 등을 토대로 후유장해 보험금 청구를 마칠 수 있었죠.

보험사에서 S님의 장해에 대해 모두 인정을 해주었을까요? 저희가 제출한 장해평가에 대한 기록이 합당한지에 대해 회사 내부적으로도 심사를 거쳤습니다. 약 한달간의 과정이 있었지만 '뚜렷한 장해' 인정을 받아 보험금을 지급받을 수 있었습니다. 2,3,4수지 모두 '뚜렷한 장해'로 각 손가락마다 5%의 지급률, 3개의 손가락을 합산한 15%의 지급률로 보상을 받아 총 2천만원이 넘는 금액을 수령하셨어요.
손가락 골절, 굴곡건 파열로 내고정술, 건봉합술 받으셨나요? 후유장해 보상 받으세요
손가락 부상으로 얼마나 보상을 받았는지 실례를 살펴보았는데요. 이처럼 골절, 건파열 등으로 치료받으셨다면 내가 가입한 보험에서 어떤 보상이 가능한지 알아보세요. 평소에 보험료는 내고 있는데 정작 필요할 때 보험금을 놓친다면 정말 안타까운 일입니다. 내 상황에서 어떤 보상을 받을 수 있는지, 예상 금액에 대해 무료 상담 가능합니다. 「보상더하기」에 문의주세요


