
안녕하세요, 손해사정 전문 보상파트너입니다! 길을 걷다가 발을 부딪쳤거나, 일상 속에서 발가락에 충격이 간 경험은 누구에게나 있을 것입니다. 그런데 발가락 관련 손상을 가볍게 넘기다가는 추후 큰 어려움을 겪을 수 있는데요.
발가락은 우리 몸 전체 균형을 잡아주는 중요한 축이고, 특히 엄지발가락은 체중 지탱에도 큰 역할을 하기 때문입니다. 오늘은 엄지발가락 골절로 인해 수술 후, 통증 및 운동 제한이 남았던 고객 사례를 소개해 드리려고 하는데요.
1,500만 원 보험금을 보상받기까지 어떠한 과정을 거쳤는지, 비슷한 상황에 놓인 분들에게 도움이 될 만한 정보를 전해드리겠습니다!
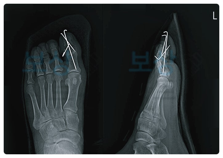
50대 김△△ 님께서는 개인 중장비를 정비하던 중, 무거운 도구가 발등으로 떨어지면서 1족지 부위를 다치게 되었습니다. 해당 부상은 손상 부위가 개방되지 않고 내부에 골절이 생긴 상태였으며, 심한 통증으로 걷기조차 어려운 상태였습니다.
주요 처치는 비관혈적 정복술 후 금속핀 고정술을 통해, 골절 부위를 맞추고 안정화시키는 방식이었습니다. 절개를 크게 하지 않아 비교적 빠른 회복을 기대할 수 있는 수술이나, 이후 석고 부목 고정 상태로 약 한 달 이상 움직임을 최소화해야 했습니다.
이 기간에는 주로 골절 부위가 잘 유합되는지 확인하는 것이 관건이었습니다. 그리고 휴식과 경과 관찰이 이루어졌습니다.

엄지발가락 골절은 수술한 골 자체가 아물어도, 후유증이 남거나 통증이 오래갈 가능성이 있습니다. 발바닥 하중을 분산해 주는 핵심 부위여서, 염증이나 관절 변형 위험도 다른 부위보다 높을 수 있습니다.
따라서 재발을 방지하기 위해서는 정형외과 전문 기관에서 주기적으로 상태를 확인하고,** 재활운동**도 꾸준히 병행하는 것이 좋습니다.
그에 더불어 후유증 관련 보험금을 신청하는 것도 매우 중요한데요. 나의 모든 보험 내역을 살펴본 후에, 아래와 같은 보장이 있는지 자세히 찾아봐야 합니다.
일반상해후유장해(3~80%)
재해장해급여금
재해장해특약
장해보장
... 위와 같은 담보를 찾았다면, 전문의로부터 '후유장해 진단서'를 발급받아서 보험사에 장해 보상을 청구할 수 있습니다.

사람들이 놓치기 쉬운 부분 중 하나는, 이처럼 상해가 발생했을 때, 어떻게 효율적으로 혜택을 누려야 하는지 잘 모르고 넘어가는 것입니다. 실제로 개인이 청구를 진행하다가 보험사로부터 '영구'가 아닌 '한시' 장애 결과가 나와서 소액만 지급받는 경우도 많습니다.
엄지발가락 장해율 산정 과정은 생각보다 복잡하고, 분쟁의 여지가 많은데요. 이 점을 간과한다면 보상에 있어서 큰 손해를 볼 수밖에 없습니다.
그러므로 반드시 전문 손해사정사의 도움을 받는 것이 좋은데요. 복잡한 실무 절차와 손해액 산정을 전문적으로 다루며, 지급금 수령 과정에서 불리함이 없도록 돕는 역할을 합니다.
또한 객관적인 장해 평가부터 서류 작성, 숨겨진 특약 확인까지 전반적인 도움을 받을 수 있습니다. 이처럼 손해사정사는 고객의 편에서 독립적으로 움직이는 전문가이기에, 청구 전에 조언을 받는 것이 꼭 필요합니다.💡

김△△ 님께서는 수술 후 회복에 전념하셨음에도 불구하고, 통증과 운동 제한과 같은 후유증이 남게 되었는데요. 이후 저희 손해사정 사무실로 연락을 주셨고, 다행히 사전에 여러 담보를 준비해두신 덕에 함께 후유장애 보상을 신청하실 수 있었습니다.

그리고 제3 의료기관의 장해 평가 결과, 엄지발가락의 강직 상태로 뚜렷한 기능장애(지급률 8%)로 판정된 진단서를 받을 수 있었는데요. 보험금 심사 과정에서 상대측 보상 담당자는 영구장애가 아니라는 자체 자문 소견을 주장했습니다. 하지만 오랜 경험으로 이러한 분쟁 상황에 적절하게 대응할 수 있었습니다.
최종 결과로, 실비와 골절 진단비 외에 장해 보상금 약 1,500만 원을 추가로 수령하실 수 있었습니다. 고객께서는 이번 사건으로 인해 업무 복귀가 늦어지면서 소득 감소가 있을 수밖에 없었는데요.
다행히 추가로 보장을 받을 수 있도록 도와드려서, 재정적인 피해를 어느 정도 피하실 수 있었습니다.
[ 관련 사례 참조 ↓ ]
일상 속에서 뜻하지 않게 엄지발가락 부상을 당하면, 그 후유증이 의외로 오래갈 수 있습니다. 특히 수술 후 통증과 운동 제한이 남으셨다면, 장애 관련 혜택까지 꼼꼼히 살펴보셔야 하는데요.
오늘 소개한 사례의 주인공이** 1,500만 원의 추가 보상**을 받은 것처럼, 전문가의 조력을 받아 관련 서류를 빠짐없이 준비하는 것이 도움이 될 수 있습니다. 후유증과 통증으로 고민하시는 분들께 이번 사례가 조금이나마 참고가 되길 바랍니다.
또한 수많은 실무 경험을 가진 전문 손해사정사의 도움이 필요하시다면 언제든지 연락 주시기 바랍니다. 감사합니다! 😊

