
안녕하세요. 손해사정 전문 「보상파트너」 입니다. 손가락골절은 일터에서뿐만 아니라 일상생활에서도 자주 발생하는 부상입니다. 스포츠 활동이나 교통사고, 또는 연장 사용 시 부상을 입는 경우가 많습니다. 만약 손가락 골절로 수술까지 받았다면 향후에 기능적인 제한이 생길 수도 있습니다.
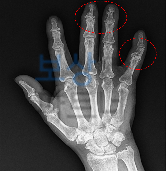
이런 경우를 대비하여 개인보험에는 **'후유장해'**라는 담보가 있는데요. 어떻게 성공적으로 청구할 수 있는지 실제 고객 사례 통해 함께 살펴보겠습니다. 의정부에 거주하시는 60대 김△△님께서는 목재를 재단하는 톱날을 사용하다가 손가락이 다치는 사고를 당하셨습니다.


진단명 :
우측 3,4,5 수지 압궤상
우측 3,4,5 수지 골절
우측 5수지 건파열
이 사고로 중지, 약지, 소지가 압궤상 및 골절상을 입었으며 새끼손가락의 힘줄이 완전히 파열되었습니다. 게다가 연부 조직의 손상이 심하여 피부 이식이 필요한 상황이었습니다.

치료 내용 :
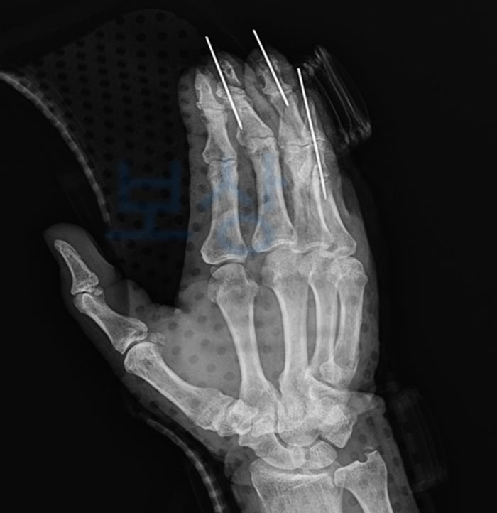
3,4,5 수지 관혈적 정복 및 내고정술
복합조직 이식술
5수지 건봉합술
3,4,5 수지 변연 절제술 및 국소 피판술
골절 부위에는 금속 핀을 삽입하여 고정하였고, 힘줄 봉합 수술과 국소 피판술(옆의 피부를 당겨와 이식)을 시행하였습니다. 깁스 치료가 끝난 후에는 재활 치료도 꾸준히 하셨는데요. 아무래도 예전과 같은 움직임이 돌아오지는 않으셨습니다.
사고로 다친 후에 후유증이 남은 경우에는 아래 두 가지를 확인해 봐야 합니다.
① 상해후유장해 보험 가입 여부

위 사진같이 일반상해후유장해(3~100%) 보험이 있다면 가입 금액에서 장해지급률(%) 만큼 보상금 청구가 가능합니다. 일반적으로 가장 흔한 장해지급률은 5%~15% 정도 되는데요. 그러면 만약 후유장해 가입 금액이 1천만 원밖에 없다고 한다면 청구 금액은 50만 원 ~ 150만 원 정도가 됩니다.
보험사와 장해율 및 삭감 요소로 인한 분쟁을 생각한다면, 위 금액으로는 사실상 청구가 어렵습니다. 그러므로 보통 후유장해 가입 금액이 1억 원 이상 되어야 청구가 수월하다고 할 수 있겠습니다.
② 후유장해 기준 해당 여부
해당 보험 가입이 확인되었다면, 보험약관상 장해 상태에 해당되는지 알아봐야 합니다. 손가락 골절과 관련된 장해 기준은 다음과 같습니다. 위의 장해 기준을 보면 알 수 있듯이 움직임이 약간 불편한 것으로는 장해에 해당이 되는 것이 않습니다. 최소 관절 운동 범위의 50% 이상은 움직이지 않아야 조건에 해당합니다.
게다가 손가락 관절의 경우는 보험사에서 영구 장해를 잘 인정해 주지 않는데요. 회복 가능성이 크다고 보고 한시 장해로 주장하게 됩니다. 그러므로 후유장해 진단서 발급 및 보험사 분쟁에 제대로 대응하기 위해서는 반드시 전문 손해사정사와 상담하신 후에 청구를 진행하시는 것이 좋습니다.

김△△님께서는 전문가 상담 후 보상처리를 위임해 주셨습니다. 이후 정형외과 전문의로부터 신체 장해 평가를 진행하셨습니다.

AMA 장해평가 결과 :
3,4,5 수지 영구 장해
손가락의 뚜렷한 장해를 남긴 때
(지급률 5% × 3개 수지 = 15%)
필요 서류를 모두 제출한 뒤 보험사의 현장 심사 및 서류 검토가 진행되었습니다. 그리고 자체 의료자문 결과, 역시 호전 가능성을 제시하며 영구 장해가 아닌 한시 장해를 주장하였는데요.
또한 고객의 직업 급수도 고지 위반 사항이 있다고 하며 지급금액의 80% 삭감을 주장하였습니다. 저희는 수많은 사례를 처리한 노하우로 적절하게 대처할 수 있었고, 추가 의료 소견 제출과 직무 내용 입증으로 대응하였습니다.
최종 결과, 환자분의 장해를 인정받아 약 2,000만 원의 보상금을 수령하게 되었습니다.
▶ 관련 사례 참조(클릭↓)
손가락 골절 수술 후
후유장해 청구 필요하시다면..
지금 전문가 무료상담 받아보시기 바랍니다! **《보상파트너》**는 십수 년 경력의 능력 있는 손해사정사와 보험사 조사관 출신이 함께하고 있습니다. 대형 보험사를 상대로 최선의 보험금 청구 결과를 약속드립니다.
기본 상담 및 서류 검토는 무료이며, 사건 수임 시 착수금 없이 성공 보수 계약으로 진행됩니다. 문의사항 있으시다면 언제든지 편하게 연락 주시기 바랍니다. 감사합니다.
※ 무료 상담 신청 ※

