
안녕하세요! 손해사정 전문 **《보상파트너》 **입니다. 산업 현장에서 근무 중에 사고를 당하시게 되면, 치료 문제뿐만 아니라 당장의 생활비까지도 걱정이 되는 것이 사실인데요. 또한 재활 기간까지 생각한다면 빠짐없는 보상을 받는 것이 무엇보다도 중요합니다.
그렇다면 산재 보상에 더해서 근재보험 보상까지 잘 알아보셔야 할 텐데요. 오늘은 업무상 재해(요추,요골 골절) 당하신 의뢰인의 사연 통해서, 어떻게 정당한 보상금을 받을 수 있는지 그 방법 알려드리도록 하겠습니다!
의뢰인께서는 현장에서 해체작업을 하고 계셨는데요. 동료와 함께 파이프 제거를 하는 도중에 중심을 잃으면서 낙상사고를 당하셨습니다.


진단명 :
제1요추골 골절 (S32020)
좌측 수근골 및 요골 골절 (S52590)
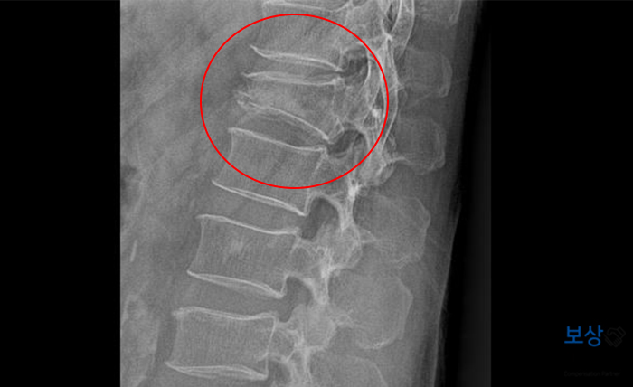
재해자께서는 요추 1번 척추체가 압박골절되셨고, 또한 손목 부분의 뼈도 골절되셨는데요. 일단 요추 1번 골절의 경우, 압박률이 심하여 추가적인 증상이 우려되는 상황이었습니다. 그래서 **척추 성형술(골시멘트술)**을 통해서 척추에 고형제를 주입하여 굳히는 시술을 행하게 되었습니다.

위 사진과 같이 단단하게 굳은 고형제는 척추체가 추가적인 붕괴가 일어나지 않게 도움을 주게 됩니다. 의뢰인의 손목 골절도 수술이 필요했는데요, 개방성 정복술 및 내고정술을 시행하였는데 금속판을 삽입하여 단단히 고정시키는 수술이었습니다.

이러한 수술들을 받은 후, LSO 허리보조기 착용하여 약 2달간 안정을 취해야 하였는데요. 회복 중에 보상 관련하여 정보를 찾아보시던 중, 저희에게 연락을 주시게 되었습니다. 의뢰인은 업무상 재해로 산재 승인받아서 요양급여, 휴업급여, 장해급여를 받으실 수 있었는데요.
▶ 요양급여
병원에서의 모든 치료비와 요양치료 비용까지 지급합니다. 후에 재발하여 재요양이 필요한 경우에도 보상해 줍니다. 다만 일부 비급여 항목에 대해서는 적용되지 않고 본인이 부담해야 합니다.
▶ 휴업급여
요양으로 인해 취업하지 못한 기간에 대해 평균임금의 70%를 지급합니다. (입원,통원기간 모두 포함) 만약 이 기간에 근로 기록이 확인되면 휴업급여는 반납해야 합니다.
▶ 장해급여
산재보험법 장해등급(1급~14급) 기준에 따라 일시금 또는 연금으로 지급합니다. 절차나 과정에 있어서 까다로운 부분이 있으므로, 반드시 전문가 상담 후에 청구하시는 것이 좋습니다.

재해자분의 경우 산재보험을 통해서 지급받은 금액은 다음과 같았습니다. 요양급여: 1,100만 원 휴업급여: 2,000만 원 장해급여: 4,200만 원 (장해등급 10급 척추의 극도의 변형장해)
▷ 합계: 7,300만 원
근재보험은 어느 정도 규모가 있는 공사 현장이라면 대부분 가입되어 있는데요. 하청업체 근로자의 사고일지라도 원청의 보험으로 보상이 가능합니다. 산재 보상의 부족한 부분을 근재보험에서 추가로 보상한다고 보시면 되는데요. 그 보장 항목들은 아래와 같습니다.
▶ 치료비
산재 요양급여에서 지급하지 않았던 비급여 항목에 대한 치료비를 보상합니다. 또한 화상이나 흉터가 있다면 향후치료비도 청구 가능합니다.
▶ 휴업손해
입원 기간에 대한 일실수입을 보상하지만, 대부분의 경우 산재 휴업급여를 초과하는 손해는 거의 없습니다.
▶ 위자료
부상의 정도에 따른 위자료를 지급합니다. 산재에는 없는 항목입니다.
▶ 상실수익액
상황에 따라서 가장 큰 액수가 산정될 수 있는 항목인데요. 장해의 정도에 따라 노동능력 상실률(%)을 산정하여 계산합니다. 나이가 어릴수록, 장해율이 클수록 산정금액이 높아집니다. 산재에서 받은 장해급여 금액만큼 공제되어 지급됩니다.

참고로 산재보험과는 달리 근재보험 청구는 보험사를 상대로 보험금 분쟁을 겪는 것이 불가피한데요. 전문의 후유장해 진단서 발급이 까다로울 뿐만 아니라, 보험사와 과실 비율, 장해율 등으로 다툼이 생기게 됩니다.
전문 보험지식과 의료지식이 없다면 이런 과정에서 제대로 대응하기가 어려울 수밖에 없는데요. 그래서 근재보험 청구를 준비하기 위해서는 **반드시 전문 손해사정 업체와 함께 **진행하시는 것이 필수적입니다.
정확한 위자료와 상실수익액을 산정하기 위해서는 "후유장해 진단서" 발급이 필수였는데요. 배상책임보험에 적용되는 맥브라이드 평가로서 진단서를 발급받을 수 있었습니다.

꼼꼼한 자료 준비를 통해서 치료비, 위자료, 상실수익액을 빠짐없이 산정하여 손해사정서를 작성할 수 있었는데요. 보험사에서는 재해자 측의 진단서를 인정하지 않고, 자체 의료자문을 통해 장해 보상금을 산정하려고 하였습니다. 또한 재해자 과실비율도 높게 책정하려고 하였죠.
하지만 저희는 실제 사례 판례를 근거로 적정 과실비율을 주장할 수 있었고, 또한 주치의 추가 소견 제출을 통해 장해율 분쟁에서도 올바로 대응할 수 있었습니다. 약 두 달간의 기간이 지나고, 보험금 심사 결과 약 2,000만 원 지급으로 결정되었습니다!
산재 보험으로 이미 적지 않은 금액을 보상받으셨기에 추가적인 보상은 쉽지 않은 상황이었는데요. 그래도 빈틈없는 준비로 근재보험을 청구하여 추가적인 보상을 받을 수 있었습니다. 이처럼 충분한 보상을 통해 재해자분이 생활에 복귀하는 데 도움을 드릴 수 있어서 성공적인 사례라고 할 수 있겠습니다.^^

그렇다면 지금 전문가 무료상담 받아보시기 바랍니다! 대략적인 보상금액부터 보험사와의 분쟁 요소까지 친절하게 설명드리겠습니다. 저희 《보상파트너》는 십수 년 경력의 능력 있는 손해사정사와 보험사 조사관 출신이 함께하고 있습니다. 문의사항 있으시다면 언제든지 아래 번호로 연락 주시기 바랍니다. 감사합니다!
무료 상담 신청

