안녕하세요! 보상파트너 독립손해사정팀 입니다. 날씨가 급격히 쌀쌀해졌습니다. 아침 출근길 혹시 모를 미끄럼 사고, 조심할 때입니다. 밤새 빗물이나 이슬이 얼어붙어서 미끄럼 사고가 일어나기 쉬운 계절이니까요.
고객분들의 문의들 중에서 미끄럼 사고로 발목이 골절되시는 경우가 많습니다. 운동을 하는 도중이거나, 복도 혹은 계단에서 물기에 미끄러지는 경우도 많습니다. 이런 경우 발목에 체중이 실리면서 복사뼈 골절이 흔히 발생합니다.
이런 경우 내가 가진 보험에서 꼼꼼히 보상받으려면 어떻게 해야 할까요? K 님의 실제 경험을 함께 보시죠.

젊은 남성분인 K 님은 운동 중에 미끄러지면서 부상을 당하셨는데요, 이처럼 흔히 축구나 농구, 배드민턴 등 격렬한 방향 전환이 이루어지는 운동에서 발목이 많이 꺾이게 됩니다. 검사를 위해 내원하신 K 님은 복사뼈 골절 진단을 받으시게 되었습니다.

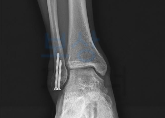
진단 병명은 외측 복사의 골절, 즉 발목 바깥쪽 복사뼈의 골절이었습니다. 수술은 관혈적 정복 및 금속 나사못 내고정술을 시행하였는데요, 직접 다친 부위를 절개하여 눈으로 확인 후 나사못이나 핀 등을 이용하여 고정하는 방법입니다. 발목 같은 경우는 체중이 실리는 중요한 관절이라 확실한 골 유합이 꼭 필요한 부위죠.

위 엑스레이 사진을 보시면 나사못으로 발목 외측 부분을 고정해놓은 것을 확인하실 수 있습니다. 보험약관상 다리의 후유장해에 해당하는 기준은 다음과 같습니다. (2018년 4월 1일 이후 최신 약관) 위의 장해 기준에서와 같이 관절의 운동 범위 제한에 따라 후유장해보험금을 청구할 수 있는 금액이 결정되는데, 발목 복사뼈 다친 경우에는 움직임이 제한되기가 쉽기 때문에 꼭 한번 해당되는지의 여부를 알아보셔야 합니다.
K 님은 보상파트너에 문의하셔서 보상처리를 위임해 주셨는데요. 초기 상담부터 상세히 설명을 드렸기 때문에, 신뢰가 가서 사건을 맡겨주신 것 같습니다.^^ 보통은 후유장해 요건에 해당이 된다면, 이렇게 초기부터 전문가를 선임하셔서 청구를 진행하시는 것이 좋습니다. 왜냐하면 이제부터 진행되는 절차들은 일반인이 하기에는 너무도 까다롭고 어렵기 때문이죠~ 먼저 장해를 입증할 서류를 준비해야 합니다. 전문의의 후유장해 진단서 발급이 필요하고요(개인보험의 경우 AMA 방식), 보험금 청구 서류와 각종 의료기록들도 준비해야 합니다. 특히 장해 입증의 근거가 되는 후유장해 진단서는 보험약관에 맞는 방식으로 준비해야만 제대로 접수가 될 수 있습니다.

보험 증권 중에 "재활 보험금"이라는 항목이 후유장해보험금에 해당합니다. 각 보험사마다 보험 항목이 다를 수 있기 때문에, 보험증권 분석 상담받아보셔서 확인하시면 좋겠습니다. K 님의 경우 위의 보험 담보 외에 2개의 보험에서 적은 금액의 후유 장해 담보를 더 확인할 수 있었습니다.

위임자분은 저희에게 청구 절차와 설명을 자세히 듣고서, 제3병원에서 객관적인 장해 평가를 받으셨습니다. 그리고 서류를 꼼꼼하게 준비하여 보험금 청구를 진행하게 되었습니다. 보험사에서는 후유장해보험금 지급에 대해서는 굉장히 엄격한 내부 지급기준을 가지고 있습니다. 그렇지 않다면 고액의 보험금이 너무도 쉽게 빠져나갈 테니까요. 현장조사, 고객 면담 조사, 의료기록 조사, 제3 자문의 소견 비교 등을 통해서 수많은 삭감 요인을 주장합니다. 이에 적절하게 대응하는 것 역시 꼭 필요합니다.

K 님의 경우, 후유장해보험금 청구 결과 총 800만 원의 보험금을 수령하시게 되었습니다. 주로 일정상 해외에 많이 계셔서 일정을 맞추기가 쉽지 않았고, 고객분께서도 큰 기대가 없으셨지만 결국 보상을 받게 되셔서 감사의 말씀을 전해주셨습니다.
- 동일 부위 사례 발목 골절 후유장해보험금 2,000만 원 보상 사례 ( ☜ 클릭하여 참조 ) 무료 상담을 통해서 보험증권 분석 및 엑스레이 사진 분석해드리고 있습니다. 만약 장해 요건에 해당하시는 것 같다면 부담 갖지 말고 문의하셔서, 꼭 보상의 기회를 잡으셨으면 합니다.
보상파트너는 십수 년 경력의 손해사정사와 보험조사관 출신이 함께하는 손해사정법인입니다. 친절하게 그리고 믿음직하게 고객의 편에서 보상을 도와드리겠습니다.^^
