
안녕하세요. 보상파트너입니다.
< 근로자재해보상책임보험 >
의 줄임말로서

근로자가 업무수행 중 불의의 재해를 입을 경우 사용자가 부담하여야 할 법률상의 배상책임손해를 보상하여주는 보험입니다.
근재보험은 산재보험과 달리 의무보험이 아닌 책임보험입니다. 즉 필수로 가입하지 않아도 되는 보험이기에 근무하고 있는 사업장에 혹은 공사현장에 근재보험 가입 사실을 확인해보셔야 하는데요, 많은 분들이 산재에서 보상받는 것 보다
더 큰 손해가 발생하였어도 시간과 비용의 문제 등으로 인해 또 일반인이기에 정보가 불충분해서 추가 손해배상을 청구하지 못하시는 안타까운 상황이 발생합니다. 사실 전문가를 선임하는 이유가 바로 이러한 상황 때문인데요,
산재 장해등급 보상에 더해
향후 사업주를 상대로 추가 손해를 보상 받을 수 있는지 확인해보셔야 합니다.
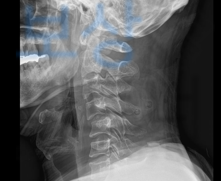
오늘은 C4번 C5번 경추 탈구 및 C7번 경추 골절 수술하신 의뢰인 김@@님의 산재와 근재 보상사례 소개해드리도록 하겠습니다.

보상파트너로 연락주신 의뢰인은 무거운 유리 적재물이 떨어지면서 머리를 가격당하는 사고를 당하셨습니다. 의뢰인은 사고 이후 머리, 어깨, 목 등 복합 부위 통증을 호소하셨고 병원 응급실 내원하여 정밀 검사를 받으셨습니다.
그 결과 의뢰인은

경추4번 ~ 5번 탈구 및 경추7번 골절 진단을 받으셨습니다. 의뢰인의 상태는 수술하지 않을 수 없는 심각한 상황이었기 때문에 경추 골절 수술을 진행하게 되었고

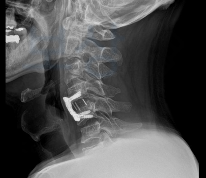
경추 4번과 5번 척추체를 고정하는 즉** < 경추 전방 유합술 >** 을 진행하게 되었죠.

위 최초 요양신청 의료기관의 소견란을 보시면 전방 경추 추간판제거술 및 골유합술고 고정술 즉 경추 전방 유합술을 했다는 설명입니다. . . . 낙하물에 맞아 큰 사고를 당한 의뢰인 김@@님 의뢰인은 업무중 발생한 사고로 사고 경위가 명확했으며 3일 이상의 요양이 필요한 상황이었으므로 병원 원무과의 도움을 받아 산재 신청서를 작성 하신 후 관할 근로복지공단으로 무사히 산재 신청을 하실 수 있었습니다.

하지만 치료보다 더 향후 영구히 잔존하게 될 장해에 대한 보상이 간절하셨죠. 의뢰인은** 지인의 소개**로 보상파트너에 연락주셨으며
(보상파트너에 계속 소개해주시는 환자분들,
올바른 보상으로 답변해드리겠습니다 ^^)
보상파트너는 의뢰인의** 의무기록** 및 영상CD와 산재 진행 상황을 파악하며 의뢰인의 산재 장해보상에 대해 구체적인 무료 상담을 도와드렸습니다.

의뢰인은 산재 뿐만 아니라 현장에 가입되어 있던 근재보험에서도 추가 보상을 받으셔야 했습니다. 경추 골절 수술로 목의 움직임이 영구히 고정되는 장해가 발생했기 때문에 그에 대한 향후 손해액이 명확히 산정되어야 했습니다.
보상파트너에 상주하는 노무직원은 먼저 의뢰인의 산재 장해급여 보상을 위해 신청서와 검사지들을 준비하였고
치료 종결 기관의 주치의와 함께 면담하며
올바른 장해 평가를 받을 수 있도록
도와드렸습니다.
보상파트너 노무 직원의 도움으로 의로인은 경추 골절 수술 장해보상

산재 장해등급은 11급 인정받으셨고 일시금 220일에 평균 임금 산정되어
산재 장해급여 26,104,680원
지급받으셨습니다.

요양 + 휴업 + 장해 급여 총 합 산재 보상금 57,390,340원 의뢰인의 사업장에 가입되어 있던 근재보험을 통해 추가 보상을 이끌었는데요, 쉽게 말해 근재보험은 손해배상 즉 합의금! 이라고 생각하시며 될 것 같습니다.
근재보험을 통한 의뢰인의 추가 보상을 위해 보상파트너는 맥브라이드 장해평가 방법을 준용한 후유장해 평가과 진단서 발급을 의뢰하였습니다. *산재 장해평가와는 별개입니다! 공신력있는 3차 의료기관의 전문의로부터 (500병상 이상의 대학병원 및 종합병원) 후유장해 평가를 받은 결과

의뢰인은 경추부 27%
사고 관여도 100% 에 해당하셨죠. 의뢰인의 노동능력상실률이 판단되었다면 근재보험 보험금 산정이 가능합니다. 보상파트너는 의뢰인의 과실, 연령, 임금등을 고려하여 지급되어야 할 보험금을 손해사정하였습니다.

물론 보험사에서도 담당 조사관을 배정하여 의뢰인의 과실에 대해 과대 적용하려는 경향이 확인되었지만 보상파트너의 십수년 경력과 보험사 출신 직원을 보유하고 있었기에 미리 대비했던 전략을 사용해 적절한 대응을 할 수 있었습니다.
의뢰인은 경추 골절 수술 받아 경제적으로 일상생활에서도 어려움을 겪으셨지만 보상파트너의 전문적인 도움에 감사함을 표현해주셨습니다. ▼ 의뢰인의 또 다른 보상도 확인해보세요 ▼ 경추골절 생명, 상해보험 후유장해 보상 사례
위 사례처럼 산재 보상에 더해 혹시 모를 추가 보상까지! 보상 파트너와 미리 대비하세요. 모든 상담은 언제나 무료로 제공되오니 편하게 문의해주시기 바랍니다 ▼ 아래의 글자를 누르면 연결됩니다 ▼
전화 상담으로 연결하기
카톡 상담으로 연결하기
감사합니다.
