보상파트너 블로그

추락사고 다리 비골, 거골 골절 산재처리방법과 산재 장해등급 기준

안녕하세요.

추락사고 다리 비골, 거골 골절 산재처리방법과 산재 장해등급 기준
Table of Contents

image


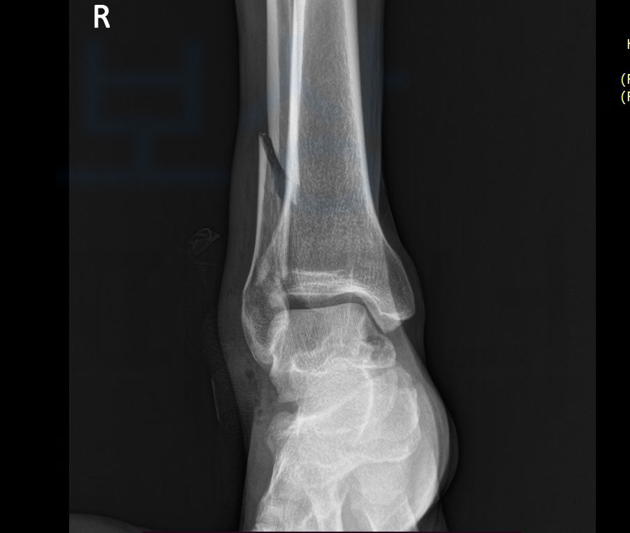
안녕하세요. 보상파트너입니다. 오늘은 비골 골절 뿐만 아니라 특히 거골 골절을 진단받아 수술한 경우 꼭 고려해야 할 산재 장해등급 기준! 소개해드리겠습니다. 먼저, 비골은 우리의 정강이 뼈의 비교적 얇고 가는 뼈를 비골이라고 합니다.

또한 거골은 발목을 이루는 뼈 중 하나로 경골, 비골의 바로 아래에 위치해 있고 발목 관절의 회전 운동을 담당합니다.

image

그런데, 특히 거골의 골절은 골절되기 쉽지 않은 부위인 만큼 심한 충격에 의해 발생하며 골절면의 정확한 정복이 되지 않을 경우 외상성 관절염이나 발목 운동의 제한과 같은 장해가 잔존할 수 있습니다.

image

특히 일하다 발생한 추락사고인 경우 근로자라면 사업주의 협조 없이도 스스로 산재보험 신청 및 보상을 받을 수 있는데요, 산재 신청을 위해서는 먼저 산재 최초 요양신청서를 작성하셔야 합니다.

image

근로복지공단의 홈페이지나 치료중인 병원이 산재 지정 의료기관이라면 원무과에 요청하셔서 산재 신청서류를 받아보실 수 있습니다. 신청서를 작성 후 상병 인정과 요양기간 결정을 위해 주치의의 산업재해보상보험 소견서가 필요합니다.

image

위 소견서 역시 병원에 문의하시면 산재 신청을 위해 작성하여 주실텐데요, 산재 신청서와 소견서, 기타 영상CD나 의무기록과 같은 증빙서류를 포함해 원무과 통해 근로복지공단으로 발송하실 수 있고 혹은 근로자 스스로 발송할 수 있습니다.

근로복지공단은 신청된 산재신청에 대해 사고경위 확인후 요양 승인 결정하며 근로자는 승인된 요양 기간동안 치료비 보상과 함께

image

일을 하지 못하는 기간에 대해 휴업급여 항목으로 보상받을 수 있습니다. 휴업급여 보상도 역시 신청서 작성이 필요하기 때문에 원무과에 문의해보시면 좋겠죠^^

image

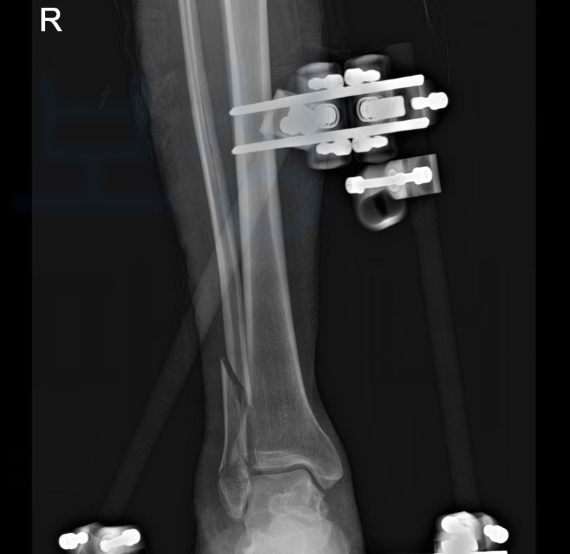
다만 비골과 거골 골절 수술 후 최대한의 치료를 시행했음에도 신체에 영구적으로 장해가 남을 수 있습니다.

image

이 경우 산재보험에서는 장해급여 항목으로 장해의 정도에 따라 등급을 지정해 보상해주는데요, 비골, 거골과 관련 있는 다리의 장해 산재 장해등급 기준은 아래와 같습니다. 다리의 기능장해 항목으로 장해 기준을 살펴보아야 하며

1개 관절의 단순 기능장해 12급

1개 관절의 뚜렷한 기능장해 10급

3대 관절 중 1개 관절 폐용 8급

3대 관절 중 2개 관절 폐용 6급

다리를 사용하지 못하게 된 사람 5급

image

우리가 살펴 보아야 할 기준은 1개 관절의 장해가 단순 기능장해인지, 뚜렷한 기능장해인지 살펴보아야 하겠죠? 발목의 경우 산업재해보상보험법에 명시되어 있는 운동범위를 기준으로 3/4, 1/2, 1/4 순서대로 정도에 따라 등급이 나뉘게 됩니다.

따라서 올바른 장해 평가와 객관적인 각도 측정이 필수적인데요, 일부 병원에서는 장해평가에 생소하다보니 올바른 평가가 진행되지 못할 수 있습니다.

image

실제로 발목 움직임이 부자연스러운데 이 정도는 장해에 해당안된다며 반려되는 경우가 있어 보상파트너로 연락주시는 환자분들이 더러 있습니다 ㅎㅎ. 따라서 산재 근로자는 장해급여 청구 전 올바른 산재 장해등급 보상을 위해서는 위 장해등급 기준을 알고 신청하시는게 도움이 되실 겁니다.

만약 산재 장해등급 신청을 염두하거나 객관적이며 정확한 등급을 받고 싶으시다면 보상파트너로 편하게 연락주세요. https://blog.naver.com/bosang_partner/222597131249 보상파트너에 상주하는 노무직원의 도움으로 올바른 산재 장해등급 받도록 최선을 다해 도와드리겠습니다.

감사합니다.