
안녕하세요. 보상파트너입니다. 산재사고를 당한 재해자는 산재에서 보상을 얼마나 받을 수 있는지 관심이 많으십니다. 산재 처리를 하시게 되면 보통 요양급여, 휴업급여, 장해급여 보상받게 되는데요, 근로복지공단이 지정한 의료기관에서 요양 및 치료를 한 후 요양급여 형태로 치료비가 지원되는 급여입니다.
업무상 재해, 상해를 입은 재해자가 요양기간동안 취업하지 못한 기간에 대해 생활보호를 위해 지급하는 보험급여입니다. 재해를 당한 근로자가 치료후에도 정신적 또는 신체적 결손,장해가 남은 경우 노동력손실보전을 위해 지급되는 보험급여입니다.
그런데 많은 분들이 요양급여와 휴업급여는 회사와 병원의 협조로 무사히 신청하여 지급받으시지만 장해급여는 검토해보아야 할 장해를 누락없이 모두 진찰 및 평가하고 평가된 장해를 증명하는 과정이 필요하기 때문에 자신의 장해와 맞는 올바른 등급을 받지 못하는 분들도 있으십니다.

오늘은 보상파트너와 함께하여 손가락 접합수술 받은 의뢰인의 산재장해등급 7급 보상 소개해드리겠습니다.

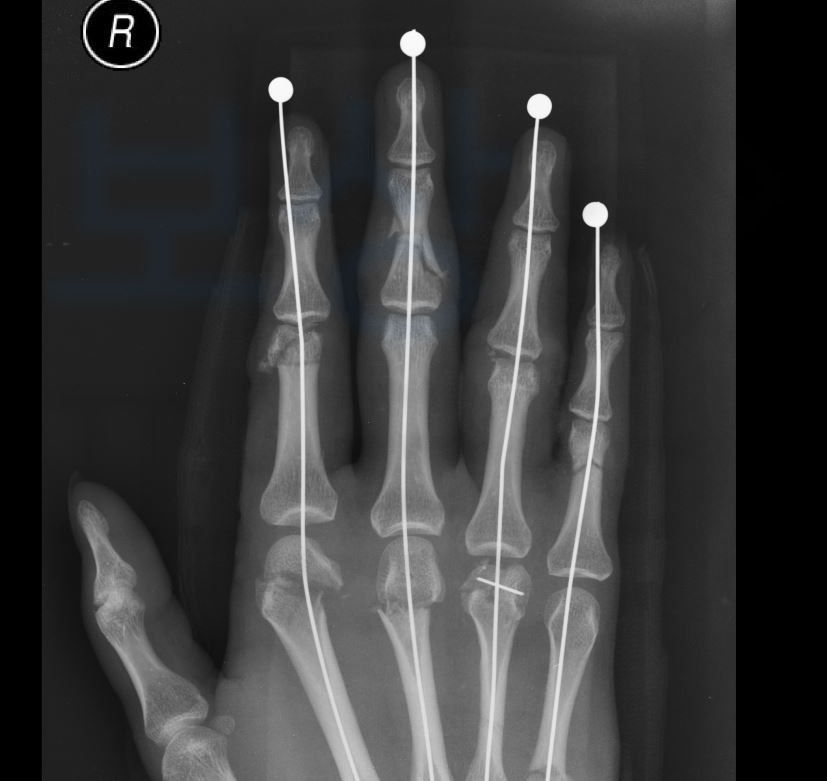
의뢰인은 한 제조공장에서 일하시던 중 제품불량을 발견해 기계에서 뽑아내려다 손가락이 절단되는.. 사고를 당하셨습니다. 위 영상 사진을 보시면 당시 사고가 얼마나 심각했는지 짐작하실 수 있습니다.
의뢰인의 경우 절단된 손가락을 모두 접합 및 금속 고정을 하였지만 손가락의 힘줄과 신경손상이 동반되어 향후 기능장해의 잔존이 예상되었습니다. 산재 장해급여 청구는 산재 요양 및 치료가 종료되고 치료의 효과를 더 이상 기대할 수 없거나 그 증상이 고정되었을 때 평가합니다.

보상파트너는 상주하는 노무 직원과 함께 의뢰인의 산재 종결 시점에 맞춰 주치의 면담을 함께 진행했는데요, 의뢰인의 상태에 고려되어야 할 모든 장해 진찰 및 판정을 받을 수 있도록 장해평가 약관에 근거하여 준비해드렸고 관할 근로복지공단에 송부하는 서류도 모두 철저히 확인해드렸습니다.
의뢰인이 적합한 장해등급 판정을 받기까지 약 1달 이상의 시간이 소요되었지만 마지막으로 관할 근로복지공단의 장해판정까지 함께 진행한 결과
산재장해등급 7급 6호
인정받을 수 있었습니다.

게다가 산재장해등급 7급에서 4급은 일시금과 연금 중 선택할 수 있습니다. 의뢰인은 일시금으로 선택하여 616일 분 지급받게 되었습니다.

산재 장해급여만 48,240,190원이며 요양부터 휴업, 장해급여까지 모두 **91,658,030원의 **경제적이익을 보신거죠. 산재장해등급 보상 방법 처음 겪는 사고에 정말 답답하시죠.
보상파트너에 문의해주셔서 구체적인 상담 받아보세요.
1688-4951
언제나 무료 상담입니다.


감사합니다.
