
안녕하세요. 보상 파트너입니다. 허리 시멘트시술은
외부 충격으로 인해 부서진 척추뼈에
안정성을 보강하는 목적으로
의료용 시멘트를 주입하는 시술입니다. 전문 용어로는 **경피적 척추 성형술 ** Vertebroplasty이라고도 부르며 피부를 절개하는 등의 수술이 아니기에 경피적 (바늘이 피부를 통과하는) 시술입니다.
시술 후 큰 흉터 없이 바늘이 들어간 흔적만 남게 되죠.
하지만 간단한 시술 같아도 척추압박골절의 골절 양상은
원통 모양의 척추체가
마치 깡통처럼 찌그러듯 골절되기에
척추의 생리적 만곡에 영향을 주고
정상적인 S 모양의 만곡에 변화를 가져옵니다.
따라서 허리 시멘트시술 받아 정상적으로 호전된 듯 보여도 보험 약관상으로는 장해에 해당될 수 있는 여지가 있죠. 척추압박골절 진단받아 허리 보조기 착용하며 최소 8주에서 3개월간 일상생활이 어려웠는데 오늘 보상 파트너가 허리 시멘트시술 받은 박@@님의 보상 사례 소개해드리며 여러분들도 어떻게 보상받아야 하는지 알려드리겠습니다.
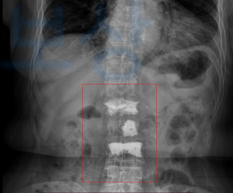
박@@님은 갑자기 달려든 강아지에 의해 뒤로 엉덩방아를 찧으며 넘어지는 사고를 당하셨습니다.

허리에 극심한 통증이 몰려와 근처 허리 전문 병원에 내원하여 정밀검사를 받으셨고 그 결과 요추 1번의 압박골절 진단받았습니다.

골밀도가 좋지 않아 향후 골절된 척추체가 더 무너질 가능성이 있어 박@@님은 허리 시멘트시술 즉 경피적 척추성형술 (VP 시술)을 받았고 허리 통증은 점점 호전되는 것 같았죠.

하지만! 내가 느끼기엔 후유증이 없는 것 같아도 보험 약관상의 장해에 해당될 수 있습니다. 지인으로부터 알게 된 보상 파트너로
의뢰인은 진단서, 보험 증권, 영상 CD를 보내주셨고
보상 파트너는 면밀히 검토하며
보상 과정과 가능성을 설명해드렸습니다. 이후 허리 시멘트시술 실시한 요추 1번 골절의 후유장해 보험금 청구를 위임받아 진행하게 되었는데요,

우선 올바르고 객관적인 장해 평가를 위해
공신력 있는 대학병원의 전문의로부터
장해 평가를 의뢰하였습니다. 그 결과

신약관상 무려
척추의 뚜렷한 장해 30%에
해당하였습니다. 물론 가입되어 있는 각 보험사에 위 진단서를 기초로 보험금을 청구해도 내부 의료자문을 거쳐 과대평가되었다는 회신을 보내옵니다.

하지만 십수 년 실무 경력으로 이미 예상되었던 분쟁 요인이었기에 미리 대비할 수 있었고 보상 파트너의 적절한 대응으로 후유 장해 보상 7천만 원 담보의 30% 총 2,100만 원 지급받을 수 있었습니다.

허리 시멘트시술 받은 많은 분들이 장해 보상까지 받을 수 있음에도
어느 누가 알려주지 않아
받지 못하는 상황이 빈번합니다. 정말 알아야 받을 수 있는 보험금 중의 하나가 후유장해 보험금인데요, 꼬박꼬박 매월 납부한 보험료, 보상받아야 하는 지금 이 순간! 보상 파트너 통해서 올바른 보상 받으세요.
1688-4951
무료로 상담 가능합니다. 편하게 연락 주세요.

아래의 버튼을 클릭하면 카톡 상. 담도 가능합니다.

