
안녕하세요. 보상 파트너입니다. 오늘은 손가락의 재해를 당한 이@@님의 실제 보상 사례 말씀드리며 손가락의 산재 장해등급은 어떤 기준으로 되어있는지 소개해드리겠습니다.
경기 시흥시 거주하시는 이@@님은 회사에서 일하시던 중 작동하는 기계에 손이 말려들어가 왼쪽 손을 다치는 재해를 당했습니다.

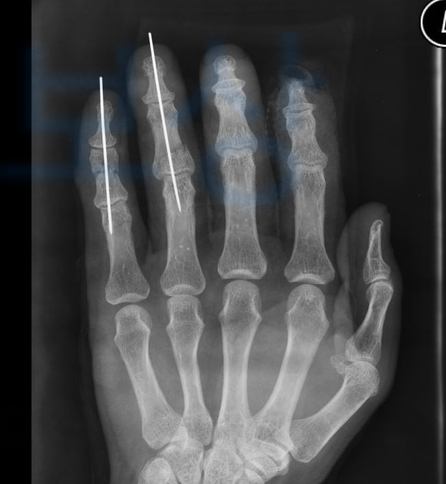
위 사고로 인해 안타깝게도 검지부터 새끼손가락까지 치료를 받으셔야 했는데

위 사고로 2수지는 경지골 절단, 4수지 5수지는 금속 고정술을 하셔야 했죠. 먼저 손가락의 장해등급 약관은 이러합니다. 그런데 중요한 것은
내가 손가락을 잃은 것 같아도
약관에 해당이 되는지
손가락이 잘 안 움직여도
약관에 해당이 되는지가 중요하겠죠. 결손으로 장해가 뚜렷해 보인다 해도 손가락의 움직임이 불편하다고 해도 주치의 혹은 근로복지공단에서
장해 등급 평가 시에 미처 발견하지 못하고
인정받지 못하는 장해가 있을 수 있습니다.
없는 장해를 만들어드릴 순 없습니다ㅠㅠ

손가락을 다친 것도 속상한데 받을 수 있던 보상까지 제대로 못 받는다면 정말 억울하겠죠..

상주하는 노무직원은 면밀하게 약관에 근거해 분석하였고 산재 요양 종결 시점에 의뢰인과 함께
주치의 면담 및 근로복지공단의 판정을
진행한 결과!
4수지 5수지의 기능장해 인정되어 산재 장해등급 11급 9호 받았습니다!

산재 장해급여는 29,020,200원이죠.
뿐만 아니라 손가락의 장해는 가입해두신 민영보험 즉 생명보험, 손해보험에서도 보상받을 수 있는데요, 그러기 위해서는 가입하신 보험에서 “후유 장해”항목이 있어야 합니다. 다행히 의뢰인의 보험 증권을 보니


상해사망후유 장해 3천만 원
상해 일반 후유 장해 6천만 원으로
총 9천만 원의 담보가 형성되어 있었고 후유장해보험금은 의료 전문의의 후유 장해 진단서와 실제 장해 상태를 확인해 보험금 지급을 결정합니다. 따라서 의뢰인의** 객관적이고 ** 올바른 장해 진단을 위해 공신력 있는 제3병원의 전문의로부터 후유 장해 평가를 받게 되었는데요,

그 결과 AMA 방식의 장해 평가로도 4수지 5수지의 뚜렷한 장해에 해당되었습니다. 물론 장해진단서뿐만 아니라 이후 보험사의 심사에 대응하는 과정이 필요하지만 결국 저희가 처음 청구한 지급률 10% 모두 인정되어!
장해 보험금 900만 원까지
지급받을 수 있었습니다.
산재 장해등급 기준
어려워 마시고 보상 파트너에 편하게 연락 주세요.
1688-4951
언제나 무. 료. 상. 담입니다.


![[산재 장해등급] 손가락이 다쳤다면? 얼마나 보상될까?](/_next/image?url=https%3A%2F%2Fagqdgbuateknhwpocrgu.supabase.co%2Fstorage%2Fv1%2Fobject%2Fpublic%2Fassets%2Ftaesung%2Fblog%2Fblog-222448680373%2F00_a97637b2a4.jpg&w=3840&q=75)