
안녕하세요. 보상 파트너입니다. 오늘도 저희가 진행한 실제 보상 사례 소개해드리겠습니다.
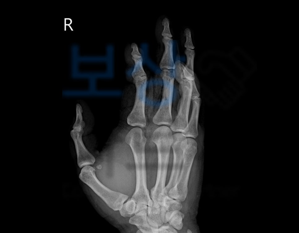
송@@님은 회사에서 일하시다가 프로펠러에 손이 들어가버리는 사고를 당하셨습니다.

위 사고로 고객님은
2수지 개방성 골절 s62631
3수지 굴곡건 파열 s6610
및 2-4수지 피부 결손, 괴사 등의 진단을 받아

골절된 뼈를 맞추는 금속 고정술, 굴곡건 파열 의 건봉합술 등등 수술적 치료가 불가피했죠. 골절진단비 나 실비, 입원비는 보험사에서 요청하는 진단서, 영수증만 청구해도
개인이 손쉽게 또 빠른 시일내에 지급됩니다.
후유장해 보험금은 신체의 장해가 영구히 잔존하였음을 증명하고 또 심사하는 과정이 필요하기에 까다로울 뿐더러 오랜 시간이 필요하죠. 의뢰인은 자신의 장해에 대해 올바르고 분명한 보험금을 위해 저희 보상파트너에 연락주셨고

저희는 의뢰인의 영상CD, 의무기과 보험증권을 보며 기본적인 상담을 도와드렸습니다. 이후 장해에 대한 판정을 위해
보다 공신력있는 대학병원의 전문의를 통해
후유장해진단서 발급을 요청하였는데요,

그 결과 의뢰인은 무려 각 손가락 당 뚜렷한 장해에 해당되어 총 15%의 지급율에 해당하셨죠. 저희는 위 후유장해진단서를 기초로 손해사정서 및 관련 증빙 자료를 각 보험사에 송부하였습니다.

물론 보험사에서는 정보열람동의나 각종 자문 동의서, 첨부 보완 등을 요청하며 약 한달 간 심사를 진행하였지만 결국!

저희가 처음 청구한 지급율 모두 인정받아
후유장해보험금 2,250만원
지급받을 수 있었습니다. 내가 가입한 보험에서 올바른 보상 받으세요. 언제나 무료 상담입니다.
1688-4951
감사합니다.


