
안녕하세요. 보상파트너입니다. 오늘 소개해드릴 김@@님은 평소와 마찬가지로 근무하던 중
발판이 흔들거리며 넘어지게 되었는데
넘어지는 도중 기계에 손을 짚어
찍히게 되는 재해를 당하셨습니다. 이 사고로

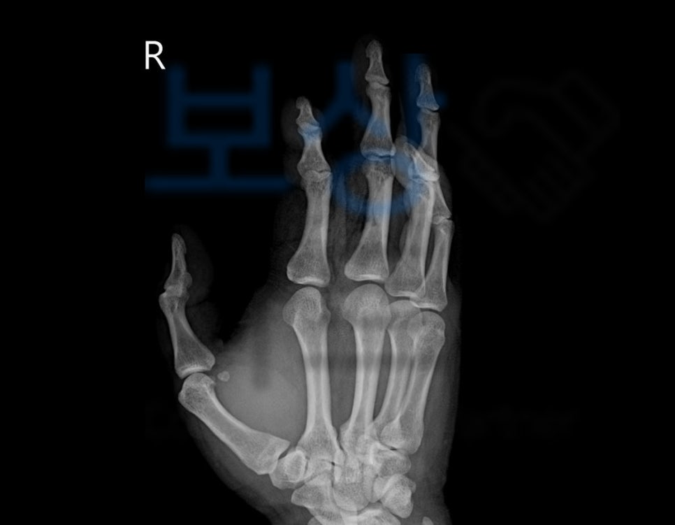
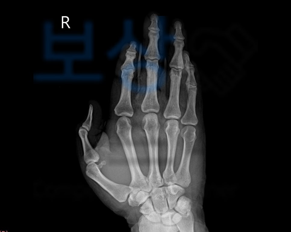
제 3,4,5수지 천수지굴건 및 심수지굴건 파열
S6660 진단을 받으셨죠.

힘줄 파열로 수술을 받았지만 위와 같이 손가락이 굽어 펴지지 않게 되었죠. 이와 같은 모습은
말렛핑거 (mallet finger)
즉 마치 손가락의 모양이 망치처럼 굽혀진 모양을 가리킵니다. 당신의 보험증권에서 “후유장해” 항목 찾아보세요. 보험증권을 보시면

재해장해 1억원

기본계약에 5천만원

주보험 + 재해장해생활비보장 2천만원 가입되어 있으셨습니다.
각 보험상품마다 후유장해의 표기가
“장해” 혹은 주계약에 포함되어 있을 수 있으니
보험약관을 잘 살펴보셔야 합니다.
사고초기부터 보상파트너로 연락주신 김@@님은 보험증권, 영상CD, 의무기록지등을 함께보며 보상범위와 방법에 대해 기본적인 상담을 도와드렸고 이후 후유장해보험금 청구를 위임받게 되었습니다.
저희는 보험사에 보험금을 청구하기위해 장해의 잔존을 증명해주는 후유장해진단서를
공신력있는 타 병원의 전문의로부터
AMA방식의 후유장해진단서 발급을 받았습니다. 그 결과

무려 각 손가락이 뚜렷한 장해! 에 해당하였고 5%씩 총 15%의 지급율에 해당하셨습니다. 저희는 위와 같이 발급된 후유장해진단서를 기초로 손해사정서를 작성하여 증빙서류와 함께 각 보험사에 청구하였는데요,

물론 손가락의 운동각도에 대해 내부자문이 이루어지며 약 한달간의 분쟁이 오갔지만 결국!
저희가 청구한 보험금 전액
지급받을 수 있었습니다.
후유장해보험금만
2,550만 원 입니다.
당신이 받아야 하는 보험금! 보상파트너를 통해 꼭 받아보세요!
1688-4951
언제나 무료로 상담이 이루어집니다. 편하게 문의해주세요.


감사합니다.
